2019-09-03 11:25:12
心血管疾病是严重危害人民健康和生命的疾病,具有高死亡率和高致残率。近30年来我国人群心血管疾病死亡率、发病率和患病率总体呈上升趋势,且发病年龄提前。心血管疾病已成为我国重要的公共卫生问题。湘雅常德医院心内科一直在为心血管疾病患者而努力,从健康知识讲座、心血管疾病预防科普宣传、定期走进社区义诊、规范化的疾病诊疗。诊疗过程中发现,有很多冠心病患者因治疗不及时,错过最佳治疗时机,导致生活质量差,症状愈发严重。以下介绍两个病历:

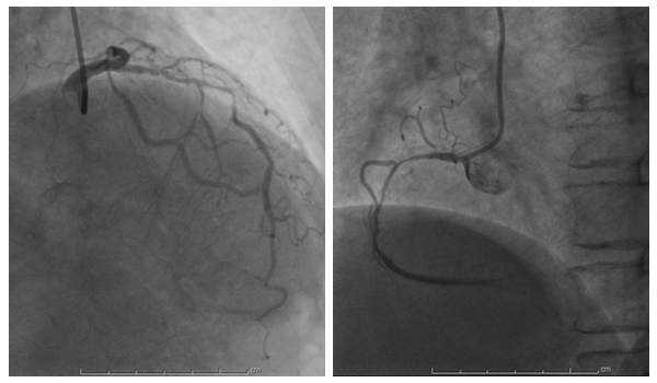
董爷爷术前冠脉血管病变
65岁董爷爷,2年前突发呼吸困难,当时外院诊断“支气管哮喘”,经治疗后好转。但仍反复出现活动后气喘、咽痛;没精神,喜睡,有气无力,平素勾着背走路,眼睛看事物模糊不清。发病来多家医院就诊,平时服药不规律、自行停用、或者服用偏方等,病情不断加重。近1年出现下肢重度浮肿,结合症状、心电图及胸部CT,我科考虑“冠心病可能性大”。进一步完善冠脉造影示:心脏冠脉3条大血管严重狭窄,其中前降支弥漫性狭窄50%-90%,右冠状动脉慢性完全闭塞。手术难度大,建议进一步心脏支架植入术或者胸外科行冠脉搭桥手术。

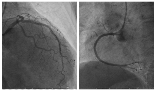
储奶奶术前冠脉血管病变
64岁储奶奶,反复出现胸闷、气促6年,伴剑突下灼烧感(肚子发烫感),视物模糊。2年前于某三甲医院诊断“严重冠心病”,冠脉造影示:冠脉血管三支病变,(左前降支:前降支近中段钙化病变,近中段弥漫性狭,最95%,左回旋支:全程钙化病变,近段局限性狭窄25%,中段弥漫性狭窄50%-80%,右冠状动脉:开口局限性狭窄50%,近-中段钙化病变弥漫性狭窄70%-99%,右室支粗大,开口局限性狭窄99%.),介入手术难度大,建议早期完善血管再通手术。时间一天天过去,病情发病的频率越来越多,患者拒绝手术,反复就诊全国多家医院药物治疗无效。日常生活质量差,家务活做不了,足不出户,不愿意出去散步,甚至吃饭心绞痛也可发作,整天沉浸在病痛中,身体日渐消瘦,内心逐渐变得焦虑及敏感。2019.08.19带着期待来到湘雅常德医院心内科住院,彭道地主任及范爱德副主任医师多次强调:冠脉介入治疗手术风险极大,由于血管长期未开通,血管钙化重,在手术中存在血管破裂或者血管难以开通可能性大,建议早期行胸外冠脉搭桥手术改善心肌供血。患者及家属言辞拒绝开胸冠脉搭桥术,特别强调要尝试心脏血管介入开通治疗,愿意承担一切后果予以生死一搏。

术后第2天回访病人:董爷爷回复:血管开通后症状改善比较显著,眼睛看东西清晰些了,精神足些,走路有力气了,咽痛消失了,腰杆也较前挺直了;储奶奶回复:手术后轻松多了,活动后胸闷气短改善,肚子发烫感消失了,之前视物模糊感,也变得清楚些了。

董爷爷术后前降支血管通畅

储奶奶术后血管通畅
急诊电话:0736-2120120
预约挂号:0736-2120000
咨询电话:0736-2120210
健康体检:0736-2120381
(急诊电话24小时在线、其余电话工作时间在线)