2021-04-13 12:42:11
4月11日,湘雅常德医院心血管内科团队成功为一名持续性房颤患者实施心房纤颤射频消融术加左心耳封堵术。“一站式”治疗模式不仅有效帮助房颤患者改善症状预防卒中,减轻患者痛苦,而且手术总耗时少、费用低,是房颤患者的一大福音。
此次手术的开展,标志着湘雅常德医院心血管内科团队技术水平再上新台阶,将为众多房颤患者免除长期吃药及卒中风险的困扰,大大提高患者的生活质量。
56岁的周先生罹患持续性房颤长达4年,在此期间,尽管一直坚持服用抗凝药物,但仍反复发作脑卒中,严重影响身体健康。“每次发病的时候除了头痛头晕以外,视线也变得模糊,看东西看不清……”据周先生透露,患病以来,脑卒中的反复发作导致他现在视力严重下降。为求进一步治疗,周先生来到湘雅常德医院心血管内科就诊。
根据栓塞及出血风险评分,心血管内科主任彭道地副教授带领科室人员进行反复讨论,判断周先生存在“高卒中、高出血”风险,决定为他行“心房纤颤射频消融术加左心耳封堵术一站式治疗”。

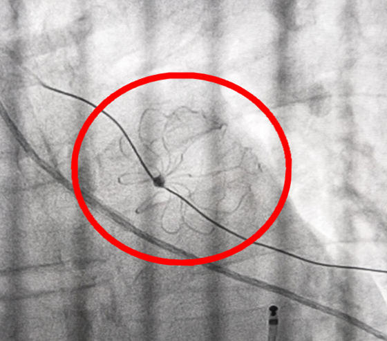
术后成功封堵左心耳开口
4月11日,在介入导管室、心胸外科、放射科等多学科联合协作下,手术如期进行。术中,造影显示患者左心耳远端分布发达的梳状肌呈菜花状,极易造成血流瘀滞,继而形成血栓引发脑卒中等栓塞的危险。彭道地副教授团队首先为患者成功实施射频消融术,遂即将一枚直径3.3厘米的“左心耳封堵伞”植入左心耳,成功封堵左心耳开口,手术过程顺利。术后,周先生恢复窦性心律,继续规范药物治疗,目前恢复良好。

据彭道地副教授介绍,脑卒中(中风)是中国第一大死因,房颤是心源性脑卒中最常见的病因,非瓣膜性房颤患者脑卒中的发生风险是无房颤患者的5倍。根据研究数据显示,非瓣膜性房颤患者超过87%的脑卒中是由于血栓栓塞引起,而超过90%的血栓来源于左心耳。针对房颤患者,根据CHA2DS2-VASC(卒中风险)评分及HAS-BLED(出血风险)评分给予长程规律的抗凝治疗是目前预防卒中事件的规范化治疗。但是,抗凝治疗同时伴随高出血风险,药物管控“治标不治本”,抗凝治疗是急性脑梗死溶栓的禁忌症,机械性封堵左心耳可阻止血栓形成,进而预防心源性卒中。
延伸阅读:
近年来,经皮左心耳封堵预防房颤患者卒中事件进展迅速,多种封堵器陆续研发并在临床应用。研究结果显示,对于非瓣膜性房颤患者而言,且CHADS2≥1分者,左心耳局部冶干预预防脑卒中、系统性栓塞和心血管死亡复合终点的效果优于华法林,且可降低心血管死亡率和全因死亡率。左心耳封堵术是通过微创的方式,闭合房颤病人血栓发生的根源,从而降低房颤患者脑卒中的风险。因此,心房纤颤射频消融术加左心耳封堵术一站式治疗,在为患者治疗房颤的同时又端掉了血栓发生的“老巢”,无疑为房颤患者预防脑卒中上了“双保险”。从药物经济学角度来看,一次封堵,终身受益,患者获益远大于终身服用抗凝药。低龄卒中患者对生活质量反而要求更高,封堵可以有效提高低龄患者的生活质量,建立患者生活信心。
左心耳封堵术的适应证为CHA2DS2-VASC评分≥2的房颤患者,同时具有下列情况之一:
① 不适合长期口服抗凝者(运动员、演员、社交活动较多者等);
② 服用华法林,国际标准化比值( INR) 达标的基础上仍发生卒中或栓塞事件者;
③ 服用口服抗凝药容易发生出血者;
④ HAS-BLED评分≥3者。
编辑:周雨霏
责编:石柳韵
急诊电话:0736-2120120
预约挂号:0736-2120000
咨询电话:0736-2120210
健康体检:0736-2120381
(急诊电话24小时在线、其余电话工作时间在线)