2024-09-29 16:53:37
9月26日,湘雅常德医院心血管内科手术团队成功为一位房颤房扑的患者开展心腔内超声(ICE)排除血栓形成并指导射频消融术治疗。
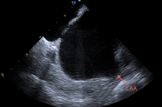
60岁的李大叔4年前来湘雅常德医院检查冠脉造影和心脏彩超均未发现异常,今年李大叔来医院进行复查,检查发现李大叔的心脏彩超双房偏大,心脏收缩功能较前下降明显。医疗人员为减轻患者症状及延缓心衰,建议患者及家属行射频消融术,反复告知其手术的成功率及手术相关风险后,患者和家属同意行射频消融术。术前需常规完善食道超声排除左房及左心耳血栓,经反复尝试患者完全不能耐受食道超声检查,但患者及家属手术意愿强烈,心血管内科主任彭道地、副主任医师杨国栋、主治医师龚辉、主治医师彭双进行反复讨论,考虑可行心腔内超声检查,若排除血栓,再继续行ICE指导下射频消融术。9月26日,完善术前准备后,手术团队首先为患者行心腔内超声检查,未见左房及左心耳血栓形成,决定继续为患者实施射频消融术,经过2小时精心手术,手术成功。术后,李大叔恢复窦性心律,术后继续药物治疗。


据彭道地教授介绍,心腔内超声心动图( ICE)指在导管的顶端安置超声探头,经由外周血管输送至心腔内部,对心脏及其邻近组织进行实时高质量成像和(或)血流动力学测定的超声成像技术。ICE能够直接显示心脏结构,有助于理解心脏内各部位之间的解剖关系,现已逐渐推广应用于指导各种心脏介入手术、监测术中相关并发症,是各种心脏介入手术中重要的辅助工具。
房颤射频消融术之前需常规排除左心房及左心耳血栓,食道超声(TEE)一直是传统的房颤导管消融或左心耳封堵术前排除左房及左心耳血栓的金标准,且价格实惠,但TEE会给患者带来更多不适,检查前需要禁食禁水,检查时需要患者配合,检查中还可能会引起食管损伤。左房CTA也用于左心耳血栓的诊断,但由于需要丰富的诊断经验、假阳性率较高,以及需要静脉注射对比剂等因素未能广泛应用。与TEE相比,ICE价格虽较为昂贵,但患者不适感较少,配合度高,且可指导后续手术过程,降低并发症发生率并减少射线量。针对左房及左心耳血栓,已有诸多临床研究表明,ICE临床应用价值不亚于TEE。
此次新技术的开展,标志着湘雅常德医院心内科团队技术水平的进一步提升,患者术前因食管病变、体质虚弱或情绪紧张等因素不能或不愿行TEE 检查,或左房CTA检查不能确诊抑或排除左心耳血栓,可选择ICE排查左房及左心耳血栓。
急诊电话:0736-2120120
预约挂号:0736-2120000
咨询电话:0736-2120210
健康体检:0736-2120381
(急诊电话24小时在线、其余电话工作时间在线)