2023-11-17 10:27:53
近日,湘雅常德医院心血管内科收治一名特殊心肌梗死的患者。今年73岁的邓爷爷,因“突发胸闷12小时”来湘雅常德医院心血管内科门诊就诊,描述说自身12小时前(夜间12点)出现突发性胸闷,位于胸骨后,有压榨感,没有缓解迹象,无胸痛,无放射痛。自行服用硝酸甘油效果欠佳,因胸闷尚可忍受,遂次日上午才来医院就诊。
门诊完善心电图为窦性心律,I、aVF导联ST段抬高伴Q波形成;肌钙蛋白I为10ng/ml。心血管内科主任彭道地教授结合患者症状,并仔细查看心电图,诊断患者为急性心肌梗死,但心电图提示为一种特殊征象-“南非国旗征”,这种心电图可能提示第一对角支完全闭塞(前降支最重要的分支),需行急诊手术,告知患者及家属手术的必要性及风险后,家属同意进行手术。立即启动胸痛中心团队,完善术前准备后,穿刺右侧远端桡动脉,行冠脉造影示:第一对角支近段完全闭塞,TIMI血流0级。

图1:发作时心电图 图2:南非国旗叠加在12导心电图上
经心血管内科主任科彭道地、主任医师范爱德、副主任医师杨国栋、经治医师彭双等多名医生多次讨论后得出结论:根据患者冠脉造影结果,为分支血管堵塞,且对角支为小血管,若行支架植入术,可能影响前降支血流,建议行药物球囊扩张术。手术严格遵循PSP原则,顺利行药物球囊扩张术,手术过程顺利,没有出现并发症。

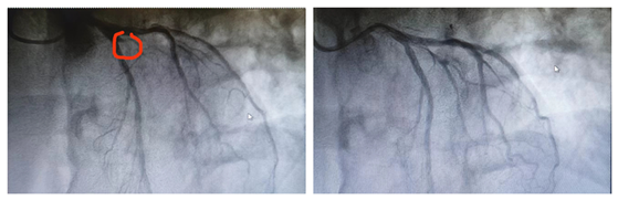
术前 术后
知识延伸:
典型心电图-“南非国旗征”:胸前V2导联、I和aVL肢体导联ST段轻微抬高。II、III、aVF下壁导联ST段压低。V2、I和aVL导联出现小Q波。这种特征性I、aVL、V2导联非连续性ST段轻度抬高,以及III导联ST段压低,被认为是冠脉左前降支第一对角(D1)支急性闭塞或“高侧壁”心肌梗死的可靠征象,为了加深印象,将此种心电图模式称为南菲国旗征。
因D1阻塞所致高侧壁心肌梗死致使ST段向量方向指向I、aVL、V2导联,背离III导联。传统12导联心电图为3 * 4显示格式,而I、aVL、III、V2导联特征性ST段偏移的心电图模式符合南非国旗的绿色条纹样式(即图2)。
本病例强调识别细微但重要缺血性心电图改变的重要性。早期发现ST段抬高可及时进行血运重建,防止左心室收缩功能障碍。
[临床意义]
(1)可使更多心电图改变不十分明显的高侧壁心梗得到及时诊断与治疗;
(2)减少下壁心肌缺血的错误诊断,因此时的III 和aVF 导联的ST 段压低不是原发性缺血,而是高侧壁心肌缺血的镜像性改变,尤其当I、aVL 和V2导联ST段抬高微弱时,更易漏诊。
急诊电话:0736-2120120
预约挂号:0736-2120000
咨询电话:0736-2120210
健康体检:0736-2120381
(急诊电话24小时在线、其余电话工作时间在线)