2018-02-06 08:30:17
1月20号,湘雅常德医院门诊来了一位双下肢明显水肿的病人——罗奶奶,活动后胸闷、气促,双下肢重度水肿,病程长达10月。2017年4月第一次因”下肢水肿”于当地医院住院,治疗后好转出院。好景不长,出院后反反复复出现双下肢水肿情况,并多次住院治疗,但是效果差,这让罗奶奶万分沮丧。
为什么会反复下肢水肿呢?患者带着这个疑问来我院心血管内科就诊。彭道地教授指出:双下肢水肿原因众多,临床常见:心源性水肿、肾源性水肿、肝源性水肿、营养不良性水肿、粘液性水肿、药源性水肿、经期紧张性水肿、下肢血管相关性水肿。该病人为老年患者已绝经多年,近期无服用引起水肿的特殊药物史,住院查肝功能、白蛋白、肾功能、甲状腺功能均正常,双下肢血管未发现异常血栓及闭塞病变。
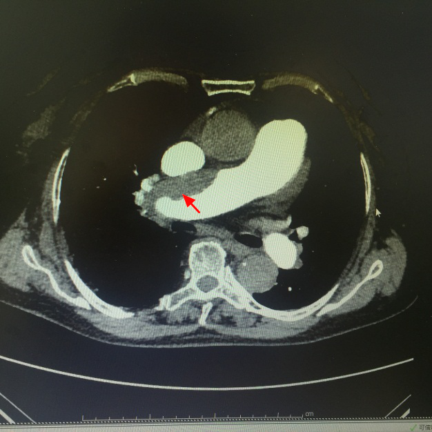
回顾患者病史:房颤病史多年,水肿10月,难道下肢血栓形成引起?遂完善双下肢超声未见明显异常。但完成心脏超声惊奇发现:肺动脉高压。根据肺动脉高压这个线索,彭教授团队开始怀疑是否存在肺栓塞?(患者存在活动后呼吸困难伴干咳,双下肢严重水肿,但无胸痛、无咯血等肺栓塞典型临床表现),于是便完善肺动脉CTA,检查结果提示:右肺动脉干栓塞。找清病因后,对症予以抗凝、利尿等治疗后,患者双下肢水肿明显消退,患者近期已出院。

(来源必应图谱)
(红色剪头提示:肺栓塞部位)
科普常识
什么是肺栓塞呢?
答: 肺栓塞是指由内源性或外源性栓子阻塞肺动脉主干或其分支,引起肺循环和呼吸功能障碍为主要临床和病理生理特征的临床综合征。血栓多数来自于深静脉血栓形成。肺栓塞在我国发生率为1%,是最常见的三大致死性心血管疾病之一。临床上的症状缺乏特异性,多数患者常表现为呼吸困难、胸痛、咯血、咳嗽、晕厥等,部分患者首发表现为猝死。这给诊断带来一定的困难。病情隐匿、危重,易漏诊。
肺栓塞的常见易患因素?
答:急性肺栓塞的危险因素包括:(1)高危:肢骨折、髋膝关节置换术等骨科手术,较大创伤和外科手术以及脊髓损伤等;(2)中危:膝关节镜手术、起搏器、ICD植入及中心静脉置管、浅静脉血栓形成、慢性心力衰竭或呼吸衰竭、恶性肿瘤及口服避孕药等;(3)低危:高龄、肥胖、吸烟、高脂血症、糖尿病、久坐不动等。随诊研究深入,不断发现新的易患因素:3个月内发生过心肌梗死或因心力衰竭、心房颤动或心房扑动等心内科常见临床情况的患者静脉血栓风险显著增加。
急性肺栓塞急性期该怎么治疗呢?
1.血流动力学和呼吸支持;
2.抗凝:目的在于预防早期死亡和肺栓塞复发;
3.溶栓:溶栓治疗可迅速溶解栓塞,恢复肺组织关注,逆转右心衰竭,增加肺毛细血管血容量及降低病死率和复发率。
4.外科血栓清除术;
5.经皮导管介入治疗:去除肺动脉及主要分支内的血栓,促进右心室功能恢复,改善症状和存活率,适用于溶栓绝对禁忌的患者。
6.静脉滤器:不推荐急性肺栓塞患者常规植入下腔静脉滤器。
急性肺栓塞口服抗凝药有哪些选择呢?
1.应尽早给予口服抗凝药,最好与肠道外抗凝剂同日;
2.经典抗凝药——华法林:我国专家共识推荐初始剂量为1~3mg;为达到快速抗凝目的,应与普通肝素、低分子肝素重叠应用5天以上,当国际标准化比值(INR)达到目标范围(2.0~3.0)并持续2天以上,停用肝素。华法林是一种经典药物,价格便宜,但药物易受多种药物和食物的影响,长期口服必须进行凝血功能检测,以保证华法林的有效性和安全性。
3.新型口服抗凝药:代表药物包括达比加群、利伐沙班、阿派沙班和依度沙班。目前认为:以上4种新型抗凝药其疗效不劣于甚至优于标准的华法林治疗方案,甚至更安全;其优点:不需要长期监测凝血功能(INR),药物受食物的相互作用小;但新型口服抗凝药价格昂贵,且无拮抗剂,不能用于严重肾功能损害的患者。
急诊电话:0736-2120120
预约挂号:0736-2120000
咨询电话:0736-2120210
健康体检:0736-2120381
(急诊电话24小时在线、其余电话工作时间在线)