2018-02-22 14:56:07
春节是中国最古老的节日,是一年四季中最隆重的日子。中国人都习惯过年一家人相聚,团圆取乐,共祝新年。今年39岁的刘先生平时在深圳工作,过年终于可回到老家常德与亲朋好友相聚,刘先生可高兴了!可是,他却在正月初五的上午被送到了湘雅常德医院急诊科,这是怎么回事呢?
刘先生高兴地回到家乡后,和父母、亲朋好友相聚,谈天说地、心情愉悦。正月初四吃完晚餐后,就和朋友聊聊这一年在异乡的趣闻。晚上12点时刘先生他们开始打牌,几圈下来输输赢赢、越打越起劲,一直玩到早上6点钟才回去休息。
然而,休息不到2个小时,被一个新年祝福电话叫醒。刘先生突然胸痛发作,面色苍白、大汗淋漓,数分钟后出现晕厥(约1分钟意识丧失),家属呼之不应,神智淡漠, 1分钟清醒后胸痛仍持续存在,剧烈程度难以忍受。

这一切可把家属吓坏了。家属连忙把刘先生送往当地医院,心电图提示:急性下壁心肌梗死,立即口服阿司匹林300毫克+氯吡格雷300毫克,同时建议转入上级医院行急诊PCI术。刘先生来湘雅常德医院急诊科已是胸痛6小时,心电图提示:急性下壁心肌梗死。急诊科医生会诊后确定患者完全符合急诊PCI术指症,立刻联系心血管内科会诊且联系心导管室及PCI术手术医生范爱德副主任医师。

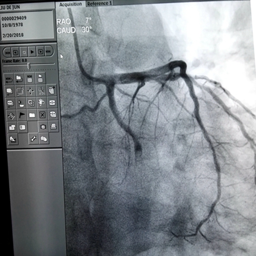
术前造影
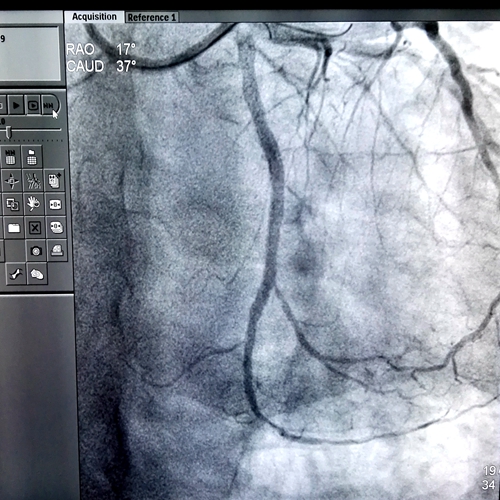
接到电话后,范爱德副主任医师带领值班手术团队在最短时间内赶到手术室,在取得患者及家属同意后,17:20顺利完成冠脉造影+PCI术。造影显示:冠状动脉多支多处严重狭窄病变,其中左回旋支中段全部闭塞(考虑为本次心肌梗死的罪犯血管),球囊扩张后植入支架一枚,术后罪犯血管恢复正常血流灌注。整个手术顺利,从患者进入导管室到手术完毕仅用了1小时左右。

术后造影
术后,心内科主任彭道地教授和范爱德副主任医师反复查看患者及询问家属相关情况,发现刘先生长期吸烟、血脂高、生活不规律、长期熬夜等危险因素。
范爱德副主任医师指出:现在年轻人生活规律差、长期熬夜、高能量饮食,长期处在高负荷紧张工作之下,往往让年轻人提前患有老年疾病(如:高血压、高脂血症、冠心病、糖尿病等慢性疾病)。年轻人在熬夜、过度疲劳后,一旦出现典型心肌梗死的表现,如持续胸痛、胸闷、出冷汗等,应高度警惕,尽快就诊。急性心肌梗死的早期识别及早期开通病变血管,对病人预后通常是最好的;然而开通血管(支架植入术后)以外,长期坚持冠心病二级预防用药也是非常关键的,防止心肌梗死再发及并发症出现。
急诊电话:0736-2120120
预约挂号:0736-2120000
咨询电话:0736-2120210
健康体检:0736-2120381
(急诊电话24小时在线、其余电话工作时间在线)