2018-03-16 08:23:47
74岁的罗奶奶七个月前干重活和剧烈活动后就会出现上腹部一阵阵的绞痛,喝点水后,就会感觉舒服一些。
但是“腹痛”的情况在这几个月中反反复复出现,罗奶奶觉得情况有点不妙,便辗转了三家医院求诊且都进行了住院治疗。
因为罗奶奶对医生讲述她主要是“腹部不舒服”,医生将她的腹部做了全面彻底的检查,从抽血化验、腹部CT、腹部超声,腹部核磁共振,甚至胃镜和肠镜都检查完毕。最后得出结论是:慢性胃炎 、结肠息肉、双肾结石。2017年9月14日,罗奶奶再次住院,在结肠镜下行结肠息肉切除术。
虽然七个月时间内住院三次,但罗仍然感觉上腹部疼痛,向胸背部、左下腹部放散痛,伴大汗,发作频率从每周一次,到每天发作1-2次,从活动后疼痛,变为睡觉休息时都出现疼痛难忍。这已经严重影响到罗奶奶及家人的日常生活了。

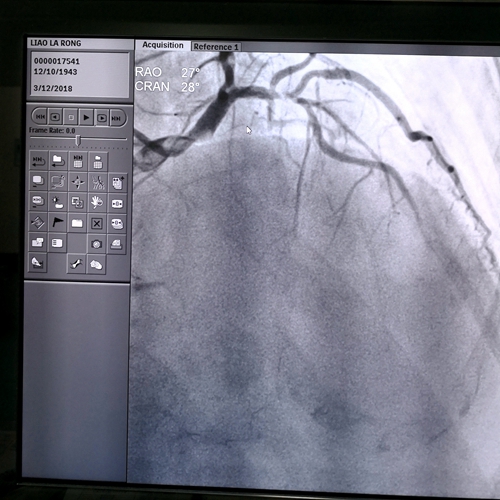
术前造影
3月6日,罗奶奶慕名来到湘雅常德医院普外科就诊,认为患者病情不是简单腹部问题,需考虑排除冠心病和主动脉夹层,完善全程主动脉CTA后排除主动脉夹层。
3月7日晚上,罗奶奶上腹部、背部疼痛难忍,马上做心电图和心肌酶,心内科会诊明确诊断:急性广泛前壁心肌梗死 陈旧性下壁心肌梗死。廖奶奶困扰半年的疼痛原因找到了,原来是冠心病 不稳定型心绞痛引起的。

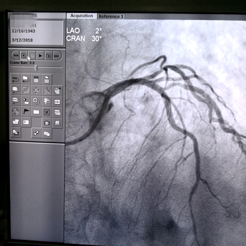
术后造影
心内科彭道地主任指出,冠心病典型症状为:活动后出现胸骨后疼痛,但部分患者表现为咽部不舒服、背痛、左肩痛、上腹部疼痛。当出现上腹部疼痛,容易误诊为消化道疾病。该病人存在冠心病,心脏血管多处狭窄,活动后心脏存在相对缺血、缺氧,最后导致胸痛发生。对不典型胸痛患者,因为容易误诊或漏诊,所以危险性更大。治疗上予冠心病用药及PCI术(心脏支架植入术)将狭窄的血管开通,使心肌供血后,症状也随之改善。
廖奶奶目前已行冠脉造影示:右冠慢性完全性闭塞,左前降支近段次全闭,并在病变处植入支架,开通血管,症状也就基本消失了。
问题找到了,对症治疗后,问题也有效解决了。原来肚子痛,不一定是胃病,也要考虑隐形杀手-----“冠心病”!
急诊电话:0736-2120120
预约挂号:0736-2120000
咨询电话:0736-2120210
健康体检:0736-2120381
(急诊电话24小时在线、其余电话工作时间在线)