2018-06-01 09:06:57
今年47岁的罗大哥,在两年前出现“血尿”的情况,据罗大哥自诉当时小便末端几滴尿液呈“西瓜汁”状,有时会出现麦片大小的干血块,这种情况时有发生。
罗大哥便去当地医院肾内科检查,由于当时检查结果提示罗大哥肌酐高、尿酸高、加上双肾结石,当地医院诊断罗大哥为“痛风”,服用一个疗程药后症状消失。
但一年前,罗大哥症状“血尿”情况再次出现,罗大哥就换了一家医院进行检查,仍被诊断为“痛风”。服用一个疗程药后,情况好转,罗大哥便急着回老家建房去了。
2018年春节期间 ,罗大哥再次出现血尿的的情况且血尿较前加重,尿中带血块,罗大哥以为“痛风”又犯了,从4月份开始,罗大哥血尿情况日益加重,便马上来到湘雅常德医院肾内科就诊。当时接诊的肾内科成小苗主任了解到罗大哥这两年“尿血”的情况,仔细查阅这两年罗大哥所有的检查结果后,觉得事情没那么简单,建议去泌尿外科就诊。

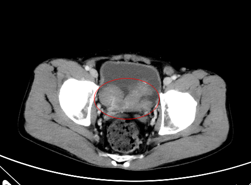
膀胱多发性肿瘤
罗大哥便找到泌尿外科主任顿金庚教授处问诊,顿金庚教授知晓罗大哥情况后,便要他做了腹部彩超、CT,检查结果提示:膀胱内有肿块阴影。进一步经泌尿系CT、膀胱镜及病检,诊断为:膀胱肿瘤。
罗大哥立马住进了泌尿外科病房进行治疗。顿金庚教授高度关注罗大哥的病情,特地组织全科医生进行案列分析及讨论后一致认为:考虑患者膀胱占位性病变,考虑为膀胱恶性肿瘤,且肿瘤面积较大,不能切除彻底,且容易穿孔导致肿瘤播散,唯有行根治术。顿金庚教授团队讨论后建议为患者施行全膀胱切除+回肠代膀胱术。

膀胱癌根治术+回肠代膀胱术,是根据患者膀胱肿瘤恶性程度、临床分级,复发率高,原发病灶大小,不能保留原有膀胱,行全膀胱切除,并清扫周围淋巴结,将部分回肠重建成“新膀胱”,达到储存排放尿液功能。手术能祛除病灶,提高患者生存时间,术后生活质量虽有所降低,相比较“膀胱癌根治术+双侧输尿管经皮造口术”,患者生活质量明显提高,大大减轻患者因术后护理带来的各种困扰。

切除的肿物
经过术前完善的检查和手术讨论,顿金庚教授及蒋欣杰副主任医师带领手术团队,经过了5个多小时的奋战,顺利完成了3D腹腔镜下盆腔淋巴结清扫、全膀胱切除、回肠代膀胱等重要手术步骤,成功结束手术。目前,罗大哥恢复良好,今天出院。
据顿金庚教授介绍,造成血尿的原因有很多,一旦发生这类情况,首先要排除是否是有由肿瘤引起,再行进一步检查。
急诊电话:0736-2120120
预约挂号:0736-2120000
咨询电话:0736-2120210
健康体检:0736-2120381
(急诊电话24小时在线、其余电话工作时间在线)