2018-06-27 09:16:01
家住桃源的杨大哥,上午躺在沙发上和朋友一边视频一边聊天,有说有笑,随手拿旁边的大枣吃了起来,吃到第三颗时,不慎将枣核吞下,立刻出现颈部疼痛,随之出现呕吐、流口水、不敢吞咽,随即去往县医院就诊,医生经过初步检查后发现情况严重建议杨大哥立即转往上级医院就诊。

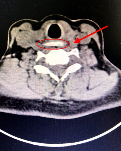
杨大哥家人立即带他来到了湘雅常德医院急诊,行食道ct三维重建,见枣核样异物横行于第六颈椎下缘,食道第一狭窄处稍下方, 异物右侧尖端与右侧颈总动脉基本相接壤,左侧与同侧颈总动脉距离非常接近。

急诊科立马联系耳鼻喉科主任田湘娥教授,田教授查看患者的基本情况后指出:患者情况比较紧急,时间紧迫,一旦颈总动脉破裂,后果不堪设想,患者就会有生命危险。完善相关检查化验,考虑急诊全麻下硬性食道镜下取出异物,食道镜选择管径最大的,并且应尽量靠左侧操作,全麻肌松量要足,尽可能避免异物右侧尖端因操作不当导致刺破右侧颈总动脉引起致命性大出血。

术前准备完善后,在田湘娥教授的指导下孙文、向佳医生按照预先设计全麻,加大肌松,选择管径最大的镜子,靠左侧口腔及食道操作食道镜,造作过程中应用左手食指牵拉食道镜向左侧加力,口腔挑起舌根,暴露会厌,挑起会厌,沿左侧杓会厌壁向下继续进镜子,杓间区后方入食道入口,由于肌松量足够,肌肉较松弛,轻松进入食道350px时,观察到横行异物,此时异物距离门齿约400px,应用异物钳夹住异物左侧轻轻牵拉并轻轻退一点食道镜,将横行异物方向修正与食道平行后夹紧异物连同食道镜同时退出食道、口腔,异物成功取出,长约87.5px。
田湘娥教授提示:无论成年人还是儿童,特别是儿童,进食时尽量安静,而且要认真,尽量避免交谈,更不可嬉笑打闹,特别是食用带尖、带刺、硬性食物更要小心,食道异物是比较危险的,一旦造成气管异物风险迅速升级,随时可能因室息失去生命;一旦误吞下硬性食物出现咽喉、颈部、胸部疼痛或刺痛症状,立刻停止进食水,马上到医院就诊。
急诊电话:0736-2120120
预约挂号:0736-2120000
咨询电话:0736-2120210
健康体检:0736-2120381
(急诊电话24小时在线、其余电话工作时间在线)