2018-07-11 12:07:19
海绵窦为一对重要的硬脑膜窦,位于蝶窦和垂体的两侧,前达眶上裂内侧部,后至颞骨岩部的尖端。海绵窦内有颈内动脉和一些脑神经通过,其外侧壁与Ⅲ~Ⅵ对脑神经的行程关系密切,在临床上颇为重要。而对于神外医生来说,海绵窦区的疾患无疑是个巨大挑战。湖南桃源县的黄大叔便很不幸,脑膜瘤偏偏长在了这个“麻烦”的区域,幸运的是他偏巧遇上了神经外科界厉害的袁贤瑞教授……

袁贤瑞教授(左一)为病人手术
记忆减退,性格大变
两年前,黄大叔就出现无明显诱因的头痛、头晕,夜里更是整夜的辗转难眠。为了止住疼痛,黄大叔坚持服用了一年多的止痛药。可是,这一年多里黄大叔依然是彻夜难眠,情绪也变得暴躁,家里人说话稍不注意,黄大叔便大发雷霆。三个月前,黄大叔又觉的视力下降,同时记忆力也下降了,家人前一秒跟他说过的话,后一秒他便不记得,反应也变得迟钝了。
察觉到黄大叔不对劲的家人,随即带着他去医院检查。当地医院检查后发现右侧桥小脑区占位,可能是三叉神经瘤,并确诊黄大叔是抑郁症,又吃了一个月抗抑郁的药,彻夜难眠变成了可以睡上一两个小时。最终,家人想彻底把他脑袋里的问题解决,带着他来到了湘雅常德医院。
刀尖舞蹈,险中取瘤
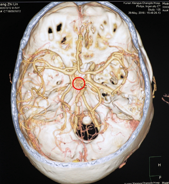
“海绵窦区,看到了吗?就是这一块。”袁贤瑞教授在手术室里早早做好了准备,反复确认病人的检查资料。然而,从非医学人士的眼睛里看到的CTA检查,就好似在看围绕着首都北京错综复杂的交通图,而在中心位置此时正包裹着一颗4.5cm*4.2cm*3.7cm大小的神经鞘瘤。

海绵窦

袁贤瑞教授从入路就开始盯着,无影灯下,找准手术入路,显微镜里,小心翼翼避开重要的动脉及神经,快速准确地找到病灶,耗时6小时,顺利将瘤体清除。
据袁贤瑞教授介绍,海绵窦是中颅窝底的重要结构,也是颅底病变常常侵犯的部位,是一个包含有静脉血管丛、颈内动脉、脂肪、结缔组织以及有或无髓鞘神经等结构的腔隙;其内的静脉丛是由粗细不等的静脉所组成的一个不规则的静脉丛,多次分叉又汇合,不完全包绕颈内动脉。所以,这种手术是神外医生不敢动的区域之一,更是令人着迷的区域之一。
急诊电话:0736-2120120
预约挂号:0736-2120000
咨询电话:0736-2120210
健康体检:0736-2120381
(急诊电话24小时在线、其余电话工作时间在线)