2018-07-31 14:49:19
停经不是什么稀奇事,但是它发生在年仅37岁的女性身上就是奇事了。脑中取瘤,脑部留疤也不是什么稀奇事,但取瘤后却毫发无伤就挺稀奇了。今年39岁的董女士这两年都经历了些什么呢?
医生说没事,瘤子却在长大
董女士在2年前出现无故停经,当时年仅37岁的她立马去到外院内分泌科就诊。经头部MRI检查,被诊断为垂体瘤。内分泌科的医生则劝慰董女士不要慌张,并给她开了口服药对症治疗,1个月后月经逐渐恢复。

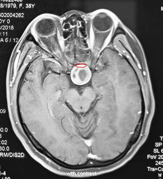
术前,垂体受肿瘤挤压变得菲薄
然而,月经的恢复并没让董女士开心多久,她的视力开始逐渐下降。1年前,甚至出现左眼外侧已经视物不清。董女士再次来到外院就诊,再次经头部MRI检查,显示垂体瘤较前增大,医生再次开出口服药对症治疗……
2018年的3月初,董女士再次于外院检查,垂体腺瘤还在长大,需要手术。
从鼻孔入路,干净取瘤
“袁贤瑞教授,我真的非常相信他,他也给了我极大的安全感,这次手术让我如获新生!”既然手术,董女士为自己选择了最信赖的医生,并且术后真的好似年轻了十岁,恢复得很好。

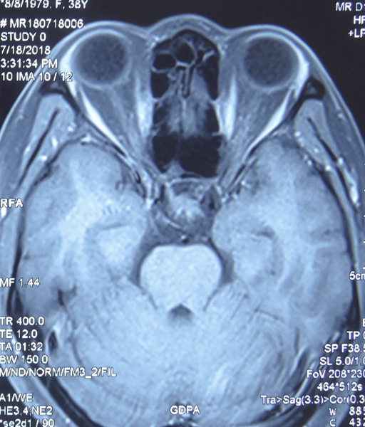
术后,瘤子取净,功能完整保留
据袁贤瑞教授介绍,患者来医院时,她脑中的垂体已被巨大的垂体腺瘤挤压得薄如纸片,垂体柄也被挤压移位,头疼头晕,左眼颞侧出现偏盲。于是,袁贤瑞教授根据患者的手术指征,选定改良扩大经蝶窦入路,仅一个多小时将垂体腺瘤取净,垂体保留完好。

手术4个月后,当董女士再次来到湘雅常德医院神经外科病房,一进门叫住了曾照顾过自己的刘冬喜护士长,如焕发新生的董女士一时让护士长竟不能辨认。当董女士说出自己名字时,刘冬喜护士长惊呼,“像换了个人似的!”董女士将复查的结果拿给袁贤瑞教授查看时,袁贤瑞教授非常惊喜,“切得很干净!”
袁贤瑞教授再次为董女士检查,左右眼视力已经从术前的0.1、0.6恢复到0.5、1.2,左眼余光能视物,月经也恢复正常。
急诊电话:0736-2120120
预约挂号:0736-2120000
咨询电话:0736-2120210
健康体检:0736-2120381
(急诊电话24小时在线、其余电话工作时间在线)