2018-09-20 14:47:13
近日,湘雅常德医院骨科收治了一名“颈部脊髓损伤伴四肢不全瘫”的外伤患者,并顺利完成手术,使患者瘫痪症状得以恢复。
2018年6月30日下午,家住桃源县63岁的曾大叔在工地上干活时因高处铁杆坠落砸伤头颈部,导致四肢瘫痪,在当地医院治疗,诊断为“脊髓损伤”,2天后,四肢瘫痪症状无明显好转,当地医院建议转上级医院进一步治疗,与家人商量后,7月2日来到湘雅常德医院急诊科,完善各项检查后,以“颈部脊髓损伤伴四肢不全瘫”收入湘雅常德医院骨科。

入科后,骨科主任张朝跃教授所带领团队对曾大叔进行查体,发现颈部活动受限,双上肢无法活动,双下肢无法抬离床面,仅有些许肌肉收缩,整个人呈瘫痪状态。为最大化降低创伤对患者神经功能造成的不可逆伤害,尽快恢复神经功能创造条件,经过脊柱外科组上团队讨论后,于7月3日急诊为患者在全麻下行颈椎后路椎板切除+椎管减压+钉棒系统内固定术,手术顺利。
术后,骨科医护人员协同康复科精心为曾叔叔制定了康复方案,如:关节松动训练、截瘫肢体综合训练及高压氧治疗等。8月3日曾叔叔顺利出院,出院时,他的双上肢已经可以抬离床面,双下肢虽然暂不能下地行走,但肌力明显恢复,可以单独完成直腿抬高及屈膝等功能锻炼了。

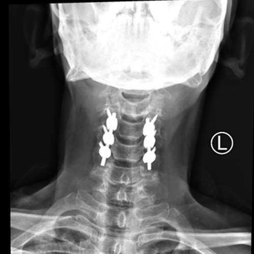
术后复查X片
一个月后,曾叔叔的家人带他来到骨科门诊复查,他已经能在颈托的保护下独立行走了,比预期恢复效果更好更快,医护人员看到这一幕为都他感到高兴。
科普知识:
【如何判断脊柱骨折】
1. 受伤部位疼痛和活动受限;
2. 损伤部位棘突明显压痛,胸、腰段损伤时常有局部肿胀和后突畸形;
3. 有脊髓损伤的相应症状和体征;
4. 严重损伤可有休克及合并症;
【现场急救搬运法】
1. 一个人在病人的头部双肘夹于病人头部两侧,双手放于病人肩下,固定头颈部。如果怀疑颈椎骨折,则先用颈托或自制简易颈托进行固定后再搬运;
2. 另外三人在病人的一侧(同侧)分别在病人的肩背部、腰臀部、膝盖踝,双手从病人背下平伸到病人对侧;
3. 扶头的人为指挥者,务求四个人同时用力保持病人脊柱为同一水平线,平稳的抬起病人,放于硬担架上,禁止用软担架;
4. 用多条固定带将病人固定在硬担架上。
急诊电话:0736-2120120
预约挂号:0736-2120000
咨询电话:0736-2120210
健康体检:0736-2120381
(急诊电话24小时在线、其余电话工作时间在线)