2018-10-26 16:51:40
今年32岁刘先生,家住贵州,但最近却住进了湘雅常德医院心血管内科。在医院里检查后发现他的心脏比正常人大一倍,这是怎么回事呢?
2010年开始,年仅24岁的刘先生于感冒或劳累后开始出现胸闷、气短,休息片刻缓解,因当时年轻,便并未在意。
2011年后症状反复发作且活动耐量明显下降,不能搬运重物,爬坡、快步走路便感胸闷、气短不适,有时夜间睡觉难以平卧,伴有双下肢浮肿。加之,刘先生父亲在2008年时被当地医院诊断为:心脏病(大心脏),当时没有经过正规系统的治疗,半年后就去世了。刘先生症状一天比一天重,他深深意识到病情不简单。
刘先生开始四处求医,在当地治疗多次但未得到明显改善。当地医生建议患者前往长沙去中南大学湘雅医院就诊。家人立马带着刘先生从贵州到长沙就诊于中南大学湘雅医院心血管内科彭道地副教授,检查后发现心脏很大,比一般人的心脏大百分之六十,且心功能差,被诊断为“扩张型心肌病”(简称:扩心病)。当得知该病预后差,5年病死率为50%左右,深知病情严重性,他听从医生建议,长期规律服用治疗扩心病的药物。待病情好转后也立马带着儿子去医院体检,也发现心脏偏大。

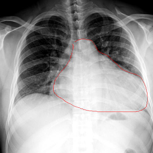
胸片提示:心影增大(左心为主)
这七年期间,患者一直规律服药且定期检查,病情控制良好。但今年9月份开始,因长期高海拔就业,工作地点每增高400米后自觉症状加重。当他得知彭道地副教授现被委派至湘雅常德医院,他这次就来到了常德进行治疗。经过检查后发现心脏比正常人大百分之八十二。经过湘雅常德医院心内科2周悉心治疗,其症状较前好转。胸闷、气促、双下肢水肿消失,食欲、睡眠较前明显改善。

患者心脏超声检查结果
据心内科彭主任介绍道,扩心病(DCM)患者心脏大、心功能差,常表现为活动后胸闷、呼吸困难,活动耐量下降,很多人不能干重体力活,严重者伴腹胀、食欲差、下肢水肿。部分扩心病具有遗传性,结合刘先生及其父亲均有DCM,可明确为“家族性扩心病”。家族性扩心病(FDCM)表现为同一家族的一级亲属中有2例以上扩心病患者或者有50岁以下的一级亲属不明原因死亡。目前研究认为:约60%FDCM患者显示与DCM相关的60个基因之一的遗传学改变,其主要方式为常染色体遗传。对该类型家族成员,存在早年猝死风险,需早期发现及早期干预。

彭主任在患者出院前特意指出:扩心病患者需加强自我管理:1.注意休息,不熬夜,改善睡眠;2.限制钠盐和水的摄入;3.控制体重,预防感冒;4.适当运动;5.加强心理辅导(正视DCM和心衰、配合治疗,减轻精神压力等);6.坚持服药,定期门诊复查。
科 普
扩张型心肌病诊断标准?
扩张型心肌病是一种异质性心肌病,以心室扩大和心肌收缩功能降低为特征,发病时除外高血压、心脏瓣膜病、先天性心脏病或缺血性心脏病等。临床表现为:心脏逐渐扩大、心室收缩功能降低、心衰、室性和室上性心律失常、传导系统异常、血栓栓塞和猝死。
如何早期诊断、早期筛查?
从医生角度:对于家族性扩心病患者的家族成员的追踪观察有助于DCM早期诊断。
从患者角度:需充分意识到扩心病具有遗传性,建议家族成员定期体检。完善心脏超声(评估心脏结构和功能变化)、血清AHA检测,如经济条件允许,可完善心脏磁共振成像检查(显示心肌纤维化情况)。
DCM早期治疗?
DCM早期心脏扩大,但心功能正常,建议针对心室重构进行早期药物干预,包括β受体阻滞剂和ACEI、ARB类药物,可减少心肌损伤和延缓病变发展,显著改善成年人心衰患者和DCM患者的预后。
DCM的自我管理?
注意休息;限制钠盐和水的摄入(一般盐摄入量<3g/d, 液体摄入量 1.5~2.0L/d,以减轻心脏前负荷);控制和去除可能导致心衰加重的外在因素(控制体重;病毒感染、高血压、糖尿病、贫血);适当运动;改善睡眠(作息时间规律,保证充足睡眠,避免神经功能失调);加强心理辅导(正视DCM和心衰、配合治疗,减轻精神压力等) 。
急诊电话:0736-2120120
预约挂号:0736-2120000
咨询电话:0736-2120210
健康体检:0736-2120381
(急诊电话24小时在线、其余电话工作时间在线)