2019-02-22 16:41:30
53岁的冯女士,3年前被诊断为尿毒症,因血管条件差不宜做内瘘,在外院行右侧颈静脉长期置管手术,术后定期血液透析。近3月来,冯女士出现颜面浮肿,颈静脉长期管流量不佳,导致透析不能顺利完成,其家属打听到有长期管不畅的病人在湘雅常德医院治疗好了,就慕名来到肾脏科找到成小苗主任,家属非常希望也能在这里解决她的问题,要求住院治疗。

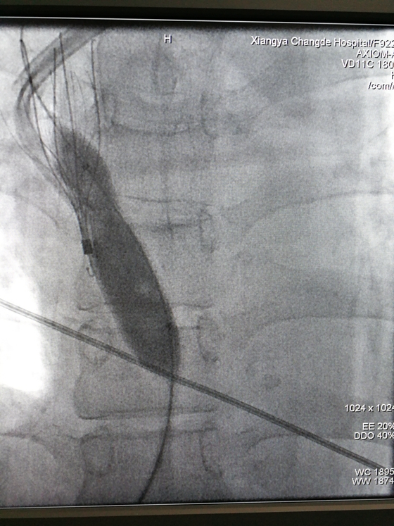
放置滤器后球囊扩张前

球囊扩张后
住院后给患者行CTV显示:右侧锁骨下静脉,右侧头臂静脉,上腔静脉上部充盈缺损,右侧颈内静脉启始部血栓形成。另外上腔静脉入口至右心房处有静脉狭窄。这就意味着,患者上述多处静脉有血栓,还有上腔静脉狭窄。如果贸然拔出右侧长期管,一旦血栓脱落随血而行,可能导致肺梗死或脑血栓,导致生命危险。成小苗主任、党智杰主治和介入科胡康新主任带领的团队汤金城主治医师,李毅副主任医师,黄彬副主任医师介入团队一同仔细分析了病情。认为可以采取左侧颈静脉置入长期导管,右侧上腔静脉放置静脉滤器防治血栓脱落,拔出右侧颈静脉长期管,球囊扩张狭窄的上腔静脉这种方案,这样既解决了血栓脱落问题,也建立了新的血管通路。2月18日,肾内科和介入科血管通路学组成功为患者置入左侧颈静脉长期管,上腔静脉放置滤器后拔出右侧颈静脉长期管,术后病人颜面浮肿消退。胡康新教授指出,静脉滤器的放置,有效的解决了血栓脱落的问题,是介入科和临床学科合作成功的范例,为病人的治疗提供一个新思路。

成小苗主任介绍,这是湘雅常德医院肾内科和介入科再合作成功的病例。目前肾内科和介入合作解决疑难血管通路病人有6例,包括颈内静脉狭窄,头臂静脉狭窄,颈内静脉血栓形成等导管功能不良的病人,通过采用球囊扩张,静脉支架,静脉滤器等方法,再顺利置入长期管,延长了尿毒症病人的生命线。
急诊电话:0736-2120120
预约挂号:0736-2120000
咨询电话:0736-2120210
健康体检:0736-2120381
(急诊电话24小时在线、其余电话工作时间在线)