常德61岁的刘阿姨,自去年4月来反复出现劳累和情绪激动时的胸闷、心悸、出汗,严重时伴头晕、眼花,休息半小时到一小时后症状缓解。刘阿姨既往血脂偏高,无高血压、糖尿病、冠心病等慢性疾病,曾于多家医院的心内科、神经内科、急诊内科门诊随诊10次余,先后多次检查心电图、心脏超声、胸部CT、头颅CT等,均未查出毛病。刘阿姨看病都看怕了……
从4月便不间断就医的刘阿姨有被医生诊断为焦虑症、恐惧症,抑或冠心病的,开的护心护脑的药并无作用,医生便劝慰刘阿姨放宽心、多交流,可刘阿姨自身是实在感受得到不舒服的,刘阿姨看病都看得快焦虑了……

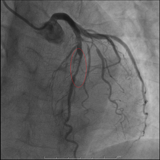
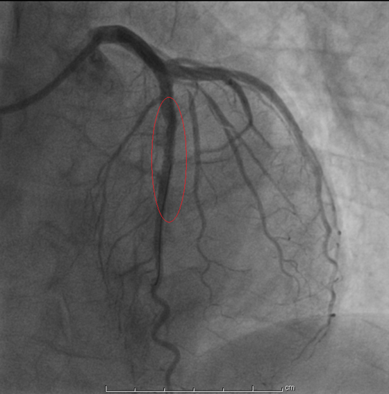
今年2月底,刘阿姨来到湘雅常德医院心内科,范爱德副主任医师仔细询问病史后,结合患者各种检查认为还是要考虑冠心病 心绞痛可能,建议刘阿姨住院,进一步完善冠脉造影明确冠心病。2月27日,据刘阿姨的冠脉造影显示,她的三条动脉都有不同程度的狭窄,其中一条动脉(左前降支)重度狭窄并钙化。心内科为刘阿姨做了冠脉介入治疗手术,于前降支近段及中段狭窄处植共植入2枚支架后,狭窄的血管顺利开通,心肌得到供血。历时近一年的求医之路,今天终于看到曙光,刘阿姨放心了……

支架植入术前

支架植入术后
湘雅常德医院心内科主任彭道地副教授指出,双心医学理念开始得到临床重视及关注。在诊疗中,我们会发现部分患者总是头晕、心慌、出汗,可是去医院又查不出来毛病,需考虑焦虑症状态可能,同时仍需警惕冠心病合并焦虑状态群体。余国龙教授编著的《双心疾病诊断和治疗》中表明,焦虑与心脏病学关系密切,心血管内科医生应该认识和处理心脏病患者的焦虑障碍,焦虑时常表现出许多功能性心血管症状,如胸闷、胸痛、气短、窒息感、心悸、头晕、头痛、疲惫乏力,这些症状和心脏病症状混杂在一起,造成心脏病诊治的困难。有研究提出在胸痛患者中,焦虑因素占38%,患者以年轻女性多见。值得一提的是,不是所有的焦虑状态患者都没有冠心病,冠心病伴焦虑状态(惊恐障碍)者约为普通人群的4倍。刘女士就是一个典型案例,心内科专家在此也警醒大家:更年期后的女性若在活动后,出现胸痛不适,休息后可缓解,不能单纯考虑情绪因素,需寻求心内科医生帮助。必要时完善冠脉造影,排除器质性疾病后,准确的识别焦虑状态及冠心病,为患者治疗提供有效治疗方案。