年过古稀的唐大爷,家住张家界慈利县,近1个多月来腹部突然如球状隆起,肚子胀痛难忍,经检查原来是肚子里长了个巨大肿瘤。唐大爷为了图一个安心,特意花了2小时车程,慕名前来湘雅常德医院找这里的专家教授为他治疗。

最近一个多月,65岁的唐大爷感觉腹部急剧胀大,好似装了个足球,唐大爷自己也觉得上腹隐隐作痛,发现和饮食并无关系,而且疼痛愈演愈烈。去到当地医院,医生告知唐大爷:是肚子里长了巨大肿瘤!获知自己的病情,唐大爷不禁焦虑起来,“我得找个大教授帮我看!”抱着这样的信念,唐大爷没怎么耽搁就到了远隔80公里的湘雅常德医院。
不出意料,唐大爷被收治于湘雅常德医院普外科,主任肖广发教授和刘冬保主任、黎有典主任非常重视病人的病情,经完善了相关检查,并召集了多学科会诊评估后,决定由肖广发教授、刘冬保主任强强联手为其手术。

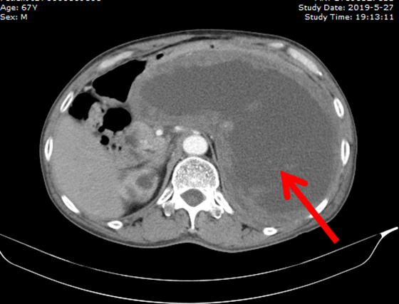
图右囊性肿块即唐大爷腹部巨大肿瘤
术中,两位专家也惊讶于唐大爷腹中的肿瘤:大小竟约25公分,与胃、脾脏关系紧密,颇难分离,肿瘤内部充满了褐色的液体。3个小时,术者都在小心翼翼地将肿瘤从结肠、胰腺、肾脏等脏器剥离,最终完整切除,并行全胃切除、食空肠袢式吻合,整个过程达5小时。手术结束,肖广发教授的手术服已浸满汗水。
术后第7天,唐大爷开始进食,进食量也逐渐增多。身体一天比一天健朗,没事儿的他还会在病房“串门”。出院之际,普外科的医生护士对他千叮咛万嘱咐:吃药、定期复查!唐大爷高兴地边点头边说:“感谢你们帮我捡回了一条命!”
经病理检验唐大爷的腹部肿瘤实际为胃间质瘤。据肖广发教授介绍,胃肠道间质瘤在消化道肿瘤中发生率不高,但往往因早期没有明显症状而被大家所忽视,很多病人因为发现腹部巨大肿物或有明显症状后才来医院就诊导致肿瘤发现较晚、治疗效果较差,所以每年定期体检对发现肿瘤是很有必要的,如果出现腹部不适等症状时需及时至医院就诊,以免延误病情。