2021-06-04 08:47:34
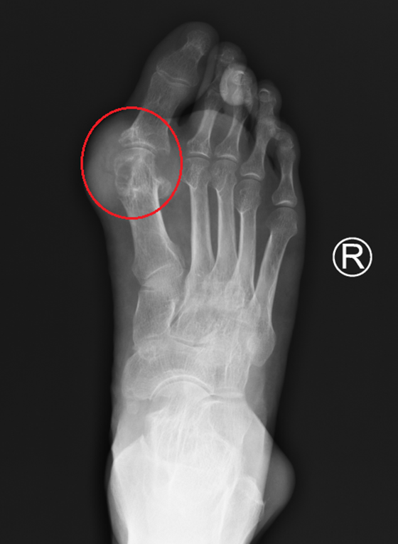
25岁年轻小伙杨某,本该是青春恣意的年纪,最近却饱受关节痛的折磨。自他15岁起关节肿痛彻底改变了他的生活。刚开始只是两只脚的大拇指又红又肿,摸上去特别烫,还非常疼痛,像有人拿刀子在割似的,后面小杨的膝盖、手都开始疼了,父母带去医院检查之后才发现小杨的血尿酸特别高,超过了700umol/l,看到结果,大家都吓了一大跳,医生最后给诊断了“痛风”!小杨父母都不敢相信,才十几岁的孩子,怎么就得痛风了呢?自此,痛风就伴随着小杨度过了漫长的青春期,疼痛也如影随形。甚至,小杨的手、脚都鼓起了包块,慢慢地长大。一开始,小杨还不以为意,可后来,脚上的石头越来越大,喜欢得鞋子都穿不了,手上的石头也在长大,灵活的手也像是被什么东西禁锢住了一般,变得笨拙。最痛苦的还是关节疼痛发作的时候,像在被人撕扯,恨不得没有这双脚才好。大家都说痛风是吃出来的,小杨觉得只要管住嘴就行,但是,不吃动物内脏,不喝酒,关节疼痛也还是没有放过他,尝试了很多方法,都不见特别好的效果。时间一长,小杨摸索出了一点规律,当他熬夜、喝碳酸饮料之后,关节痛肯定会发作,发作起来只能用止痛药去扛。渐渐地,小杨也不再抱有希望了,可能这辈子都会这样,再也摆脱不了它了。半个月前,小杨再次发作关节痛,吃了半个月的止痛药还是不见效,走路也一瘸一拐的,小杨的阿姨这才带他来到了湘雅常德医院风湿免疫科,找到了游运辉教授。经过系统的诊治后,小杨的关节肿痛终于得到了很好的控制,关节不红了,也不肿了,走路也没有太大的影响了。

现在,痛风的患者不仅越来越多,年龄也越来越小。许多人虽然还没有出现关节肿痛,但体检就发现自己血尿酸高了。那如何去避免痛风的这些危险因素呢?
游运辉教授指出,一是要改善生活方式,健康饮食,避免吃高嘌呤的食物,尤其是酒精、海鲜、动物内脏、浓肉汤等;二是有心血管和代谢性疾病患者要注意检测血尿酸,以便及早发现高尿酸;三是要避免长期使用可能造成尿酸升高的药物。力争将血尿酸控制在360umol/l以下,有痛风发作的患者,尿酸更是要控制在300umol/l以下最佳。血尿酸很高,但是没有出现过关节痛,首先要控制饮食、控制体重3至6个月,复查血尿酸仍然很高,那就需要加用降尿酸药物治疗了,降尿酸药物很多,需要专科医生根据患者情况选择适合的药物,坚持服用。这样,可以有效地控制痛风的发作,减轻病痛。
编辑:胡泽涛
责编:李晓
急诊电话:0736-2120120
预约挂号:0736-2120000
咨询电话:0736-2120210
健康体检:0736-2120381
(急诊电话24小时在线、其余电话工作时间在线)