2020-07-28 11:13:14
年过六旬的李阿姨饱受膝关节肿痛的折磨30年,长期服用着抗风湿药物,直到10年前李阿姨开始出现腰背疼痛、足跟痛等症状。今年不堪承受疼痛的她来到湘雅常德医院风湿免疫科就诊,这一看竟然发现李阿姨并不是风湿关节痛。

骶髂关节CT提示患者双侧骶髂关节面破坏及间隙狭窄
“风湿病”折磨病人饱受疼痛
家住湖南桃源县的李阿姨今年63岁,30年前便查出患有“类风湿关节炎”,并且长期服用着“抗风湿药物”,膝关节疼痛仍反复发作,最近时间竟不能步行太久,疼痛使活动受限。不堪其苦的李阿姨来到找湘雅常德医院风湿免疫科主任游运辉教授看病,经仔细询问,李阿姨除了双膝关节、右踝关节肿痛外,10年前开始就出现了腰背部疼痛,还出现足跟痛,身躯日渐“佝偻”,疼痛折磨得她夜不能寐,而药物也并不见效。李阿姨也渐渐怀疑自己是否真的患上了“类风湿关节炎”?

患者双侧骨盆X线提示骶髂关节异常
风湿免疫专家找出真正病因
游运辉教授为李阿姨完善检查后,最终确定李阿姨其实患上的是强直性脊柱炎。确诊了毛病,李阿姨如释重负,医生们也可以对症下药,对症治疗了。

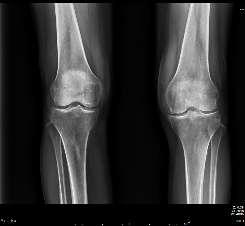
双膝关节X线提示患者右膝关节退行性变,不考虑类风湿关节炎
据游运辉教授介绍,强直性脊柱炎是一种慢性炎症性疾病,发病年龄通常在13-31岁,高峰为20-30岁,40岁以后及8岁以前发病少见,男性多见,女性发病往往较缓慢且病情较轻。该病主要侵犯骶髂关节、脊柱旁软组织,也可累及到外周关节,比如膝关节、踝关节、足跟、肩关节,也可出现关节外表现,比如眼炎、腹痛腹泻、足趾炎。最常见且具有特征性的表现是下腰背晨僵和疼痛,这种腰背痛与腰椎间盘突出不同的是,疼痛常在休息时加重,活动后反而好转。如果不积极治疗,严重者出现脊柱畸形和强直,影响生活质量。早发现早诊断早治疗以及规律定期复诊是可以明显改善预后的。
所以,当出现膝关节疼痛时不一定是类风湿关节炎,有踝关节疼痛也不一定就是痛风,还有一些疾病也会累及膝关节、踝关节,比如强直性脊柱炎。临床上,导致关节痛的疾病有很多种,疾病诊断不同,治疗是完全不一样的,早期得到正确且有效的诊治可以更好地延缓疾病进展。建议广大群众如果出现关节痛,应及时到风湿免疫科就诊,让专科医生和大家一起探寻“关节痛”背后的真相。
编辑:石柳韵
责编:胡卫锋
急诊电话:0736-2120120
预约挂号:0736-2120000
咨询电话:0736-2120210
健康体检:0736-2120381
(急诊电话24小时在线、其余电话工作时间在线)