欢迎来到湘雅常德医院官网!
  • 微信公众号

  • 支付宝二维码

  • 云闪付二维码

科室导航
信息动态
您现在的位置: 首页>>科室导航>>临床科室>>肿瘤科>>信息动态
湘雅常德医院实施湖南省首例全腹腔放疗治疗促纤维增生性小圆细胞肿瘤

2021-03-11 09:26:54

党支部:第七党支部科室:肿瘤科作者:刘兰点击数:
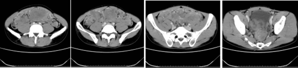
    2020年3月,年仅32岁的小李第一次踏入湘雅常德医院肿瘤科门诊。小李给人的第一印象就是:身材消瘦,165cm的身高体重仅50kg,下腹部可以摸到5*6cm大小的活动性肿块。腹部CT可见腹腔内多发结节及肿块灶,最大的有8*5cm,并且有多发的淋巴结及骨转移,外院病理诊断为:腹腔小细胞癌。
    收入院后,经科内讨论认为:外院病理诊断与临床特点不符,再次进行CT引导下的腹腔肿块穿刺活检,病理形态学提示小圆细胞肿瘤,结合免疫组化及基因检测(WT1-EWSR1重排),诊断:促纤维增生性小圆细胞肿瘤。
    在予以了6个周期高强度的化疗后,复查CT提示腹腔其余病灶较前缩小,但左侧髂血管旁病变较前增大。为进一步控制肿瘤,予以了全腹腔适型调强放疗,放疗1月后复查CT见腹盆腔内多发结节及肿块灶较前缩小,肝包膜多发结节较前稍缩小。
    2021年2月,再次复查CT示腹盆腔内多发结节较前进一步缩小,得知此消息后,小李的脸上总算出现了久违的笑容。

    据了解,促纤维增生性小圆细胞肿瘤是一种好发于青少年男性的极罕见、高度恶性、预后极差的软组织肿瘤,每年发病率约为千万分之3。促纤维增生性小圆细胞肿瘤非常罕见,诊断难度大,目前尚无标准的治疗方法,联合应用减瘤手术、多药联合化疗及全腹盆腔放疗取得了一定的效果,但总体而言疗效欠佳。
    全腹腔放疗是一种罕见的放疗技术,通过查阅文献发现,该项治疗技术在国内鲜有医院实施,国外临床研究显示在卵巢癌的综合治疗中有重要作用,它可以很好地覆盖整个腹膜腔,包括常见的肿瘤复发部位,如肝包膜、横膈膜以及盆腔和主动脉旁淋巴结区域。但是,也由于其照射范围广,涉及重要脏器多,所以有严重的毒副反应。在普放时代,半数以上的病人可出现恶心、呕吐、腹泻,其余毒副反应包括白细胞减少症、血小板减少症、肝酶升高、肺炎,晚期并发症主要是慢性腹泻,少数病人会出现肠梗阻。适型调强放疗技术的出现极大地增加了全腹腔放疗的耐受率,它能在很好地覆盖整个腹膜腔的同时减少肺、肝、肾、骨盆等危及器官的剂量,减少了毒副反应的发生率及程度。我院放疗中心通过查阅文献,系统学习,采用调强放疗技术,利用塑形垫和热塑体膜对该患者进行精准定位,合理设计放疗靶区,反复调整计划,最终成功实施全腹腔放疗,并取得了良好的疗效,且无严重不良反应出现。

编辑:腾燕妮

责编:胡卫锋

急诊电话:0736-2120120
预约挂号:0736-2120000
咨询电话:0736-2120210
健康体检:0736-2120381
(急诊电话24小时在线、其余电话工作时间在线)

地址:常德市武陵区朗州北路西侧月亮大道

Copyright 2017 - 2018 湘雅常德医院 All Rights Reserved 湘ICP备18010108号

Designed by Wanhu

工业和信息化部ICP/IP地址/域名信息备案管理系统