2018-08-28 15:06:07
大妈颈部长肿物,辗转北京、西安多家医院未果
今天68岁的朱大妈是常德人,前些年,子女毕业后在北京工作且发展的不错,朱大妈和老伴就随子女留在北京了。
两年前,朱大妈发现颈部出现肿物,朱大妈的女儿就急忙带她到北京的一家医院看诊,当时诊断为:甲状腺炎。服药治疗两个月后,效果不佳,朱大妈的女儿又带她到北京的几家知名医院检查,当时考虑为:甲状腺癌。医生和朱大妈女儿深入交谈病情与手术风险后,建议朱大妈不做手术,回家静养。
朱大妈的女儿想着,现在自己事业有成,日子越来越好,母亲操劳了一辈子,现在正是享福的时候,不能让母亲就这样被病魔折磨。于是,朱大妈的女儿带着她辗转北京、天津、西安多家知名医院求诊,但效果甚微。
下定决心回乡治疗,湘雅常德点燃患者希望
今年,在家静养的朱大妈发现颈部肿物越来越多且越来越大,呼吸都造成了障碍,已经严重的影响到朱大妈的日常起居。
朱大妈和女儿这次下定决心回湖南治疗,听闻湘雅常德医院已开业,在家乡常德就可以享受到湘雅的优质服务,朱大妈女儿带她来到了湘雅常德医院找到普外科肖广发主任。

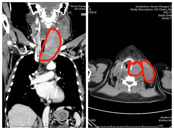
标记处为左侧甲状腺巨大肿块及左侧颈部多发肿大淋巴结
见到肖广发主任后,起初朱大妈不想拿出任何检查资料,她对肖主任说:“我现在只相信湘雅,我相信你们能行”。肖广发主任在仔细检查与查阅朱大妈既往的检查结果后,指出:患者甲状腺巨大肿块并颈部多发肿大淋巴结,考虑原发性甲状腺淋巴瘤可能,多次穿刺活检未能确诊;目前存在呼吸困难、吞咽困难、声嘶、活动障碍,手术是进一步解除压迫症状并明确诊断的最佳治疗方案
由于朱大妈肿块太大,已经压迫到了气管,担心给了麻醉药以后呼吸道梗阻,麻醉科孙志华主任为患者实行了清醒状态下的气管插管。

切除的肿物
普外科肖广发主任主刀与团队行“双侧甲状腺全切+颈部淋巴结切除”,术中切除甲状腺肿物约10*200px,左侧颈部切除3个核桃大小肿大淋巴结,术中快速提示高疑淋巴瘤;手术过程中生命体征平稳,手术完成后等朱大妈呼吸顺畅,完全清醒后回到了病房。

患者丈夫出院前赠送的感谢信
患者术后恢复良好,于今日出院。出院前,朱大妈对医护人员说道:“真是没想到啊,家乡常德有这么好的技术,这么好的医生!而且,把病人生命放在第一位,真是大善之举,医者仁心啊!我手术了,孩子们也就放心多了。”
急诊电话:0736-2120120
预约挂号:0736-2120000
咨询电话:0736-2120210
健康体检:0736-2120381
(急诊电话24小时在线、其余电话工作时间在线)