2019-08-07 15:12:29
小诚今年8岁,从出生那天肚子就较常人更为凸出,然而不痛不痒,小诚妈妈未曾将其当做一种病症。直至今1月年,因为一次小手术,医生发现小诚肚大并不简单,而是一个“瘤”,手术中止。小诚父母等在了这个暑假把孩子带到了湘雅常德医院普外科检查,为少见的畸胎瘤。

男童腹部凸出,缘是“消失的兄弟”
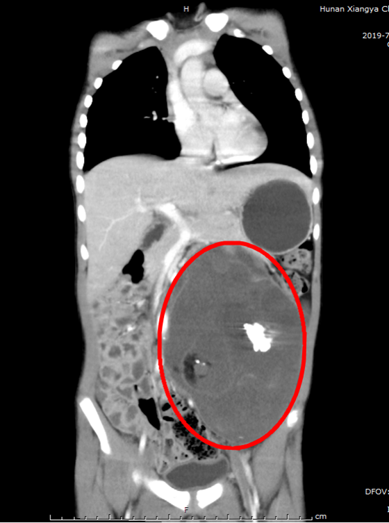
8岁的小诚从出生起他肚子左侧就要比右侧要凸出一些,但无痛痒之感,父母也就没有在意。可随着小诚长大,腹部左侧的凸出也就更为明显。直至今年1月份,小诚因右侧睾丸鞘膜积液至湖北某医院做手术,术前医生注意到了小诚隆起的腹部,中止手术后检查其腹部藏着一个皮球大小的肿瘤。受当地医院技术条件所限,建议其至上级医院治疗。今年暑假,小诚一家慕名来到湘雅常德医院普外科就诊。追问孕史,小诚妈妈回忆起曾经孕检时,腹中本是双胞胎,结果生产后却只见小诚。也就是说,双胞胎还在腹中发育时,强的一方已将弱的一方“吞噬”了,所以小诚腹中的肿瘤正是他“寄住的同胞兄弟”,学名畸胎瘤。

经普外科完善增强CT、肿瘤周围血管成像CTA/CTV等检查后,发现小诚的腹中肿瘤约12厘米*10厘米的肿瘤,考虑为腹膜后畸胎瘤,肿瘤压迫了左侧输尿管引起了左肾积水并将腹主动脉向右明显推压。如果放任肿瘤长大可能会导致左肾萎缩失去功能,并可能压迫周围血管造成静脉血栓、肠坏死等严重后果。湘雅常德普外专家对小诚的情况做了充分详细讨论,并制定了相应手术方案。

急诊电话:0736-2120120
预约挂号:0736-2120000
咨询电话:0736-2120210
健康体检:0736-2120381
(急诊电话24小时在线、其余电话工作时间在线)