2020-01-15 15:28:38
黄女士9年前患上了严重“低血糖”,9年间去往各大医院内分泌科寻求治疗,均未取得明显疗效。今年42岁的她由于长期低血糖,出现记忆力下降,甚至偶有意识丧失的症状,病情逐渐加剧,“病根”却未得到控制。
9年低血糖成谜
因饱受低血糖折磨,黄女士从家乡汉寿县一趟趟起早贪黑地赶到各大三甲医院排队挂号、治疗,结果还是钱花了,病没治好。
2019年12月14日黄女士住进了湘雅常德医院内分泌科病房。住院后黄女士的血糖受到严密监测,其最低值曾仅有1.6mmol/L(正常值3.9-6.1mmol/L)。在内分泌的一个星期,黄女士的血糖始终处在“低迷”状态,科内医生想到事情肯定没那么简单了。

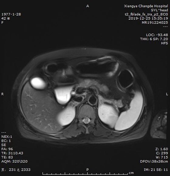
磁共振显示患者胰腺体尾部有多发结节
经反复病史询问梳理及CT、MRI和抽血检验,所有线索指向胰腺神经内分泌肿瘤(pNENs)。经普外科和内分泌科会诊,该病为功能性的pNENs,手术治疗是目前最佳的治疗方案。
手术治疗困难重重
普外科主任肖广发阅片后发现患者胰体尾部有多个1.0-2.0cm大小结节,影像及症状均符合胰岛素瘤(pNENs的一种),一系列检查后又意外发现黄女士合并甲状旁腺肿瘤、左侧肾上腺腺体增厚,可能为多发性内分泌腺瘤病,而当务之急是解决患者的低血糖症状,避免继续神经系统损伤。
然而黄女士在近2年中接受过2次手术,现腹部疤痕丛生,3个月前又因“小肠穿孔”行开腹手术,此时腹腔内粘连可能比较严重,手术难度陡然增加。
肖广发主任带领的肝胆胰专业团队却在胰腺神经内分泌肿瘤的诊治有着丰富的经验,面对病情复杂的患者依然为其制定了合适的治疗方案:保留脾脏胰体尾切除术,术中超声及血糖实时监测探查结节切除干净与否。

被完全切除的胰腺体尾部肿瘤
最终,手术于12月26日顺利完成。术后,黄女士成功摆脱了低血糖,也摆脱了每日频繁扎指监测血糖的痛苦,其后复查腹部结果一切正常。
据普外科曾虎副主任医师介绍,pNENs全称为胰腺神经内分泌肿瘤,约占原发胰腺肿瘤的3%,是一类罕见的疾病,依据激素的分泌状态和病人的临床表现,分为功能性和无功能性,其中功能性pNENs临床表现多样,如低血糖、高血糖、顽固性腹泻、久治难愈的消化道溃疡、低钾血症、皮肤游走性坏死性红斑等。既可表现为良性肿瘤的占位效应,也可出现恶性肿瘤的侵袭及转移情况;既可发生于胰腺内,也可发生于胰腺外;既可单独发生,也可合并垂体、甲状旁腺、肾上腺等多个内分泌腺体病变,因此诊断周期较长且诊疗措施比较复杂,建议在多学科综合治疗的模式下进行,并贯穿病人诊治的全过程。根据病人基础健康信息、激素分泌相关临床症状和肿瘤分期、分级等信息,以循证医学为基础,个体化地应用多学科及多种治疗手段,以获得最佳的治疗效果。
急诊电话:0736-2120120
预约挂号:0736-2120000
咨询电话:0736-2120210
健康体检:0736-2120381
(急诊电话24小时在线、其余电话工作时间在线)