2023-04-17 15:58:27
肝血管瘤是常见的肝脏良性肿瘤,多半没有症状,一般无需特殊治疗。近日,湘雅常德医院普外科一区(肝胆胰外科)接诊了一名反复发热合并贫血的巨型肝血管瘤患者,切除肝血管瘤直径达25厘米、重达5斤。术后患者恢复顺利,发热、贫血症状消除,精神状况良好,住院期间体重还增长了3斤,已于近期出院。

五旬妇人肚揣5斤“炸弹”,体积似篮球
今年53岁的秦女士来自湖南临澧县,8个月前开始出现浑身无力,3个月前出现反复发烧等症状。“我以为是几个月前‘阳’了后,肺部感染了才反复发烧……”据秦女士透露,为了寻求其反复发烧的原因,她前往当地医院进行胸腹部CT检查,检查结果提示肝脏内巨大低密度肿瘤影,诊断为“肝占位性病变”。

患者CT影像图及3D重建图提示“肝占位性病变”
当地医生告知,秦女士的肝脏部位有一个巨大肿瘤,且已经压迫至胸腔,体积约一个篮球大小。这可把秦女士给吓坏了,按理说,腹部长了这么大的瘤子,应该会有所疼痛或不适,但秦女士除了全身乏力和反复发烧以外,并无其他症状。
当地医生建议她转往上级医院做进一步治疗,如果不及时治疗,一旦受到意外压力,快速生长的血管瘤可能破裂危及生命。秦女士抱着希望来到湘雅常德医院肝胆外科的时候,肖广发主任面对检查结果也非常吃惊,片子上展现出的是一个巨大的肝脏血管瘤。瘤子占据了右侧腹腔的大部分,已将右侧腰背侧的肾脏推挤至肚脐右侧,经过测量,血管瘤直径近25厘米,重达5斤!
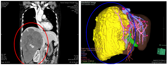
制定周密手术计划,肝胆外科团队成功“拆弹”
肖广发主任带领肝胆胰外科团队组织科室内讨论,运用3D虚拟技术精准判断各血管关系及剩余肝体积的大小,为患者制定了周密的手术计划,对术中各种突发情况做好预案,同时与患者及其家属就患者病情、各项治疗方案及其利弊、手术风险等进行详细的沟通。
患者肿瘤虽然体积巨大,经过优先控制进入肝血管瘤的右肝血管后,质地有所变软,然后进行右肝游离解剖,沿着左右半肝缺血线劈开肝脏,以肝中静脉为路标完整切除右肝巨大血管瘤,并对血管瘤粘连致密的右侧膈肌进行了部分切除修补。手术顺利流畅,出血量很少。术后,经过医护及其家属的治疗照护,恢复非常顺利,未出现任何并发症。

取出的肿瘤长约25厘米,重达5斤
据肖广发主任介绍,成人肝血管瘤是最常见的肝脏良性肿瘤,发病率约为1.5%,男女比例约为1.3∶1,高发年龄段为40~60岁。肝血管瘤通常无症状,以单发病灶最为常见,生长较慢,病程较长,且病人肝功能无明显异常。临床表现与肿瘤直径、部位相关。腹部症状主要表现为右季肋区不适感或胀痛,偶有因左肝巨大血管瘤压迫胃肠道产生消化不良、恶心、呕吐等,极少数因自发破裂或外伤情况下破裂而并发腹腔出血,出现严重腹部症状。肿瘤内若有血栓形成或坏死可致发热及全身消耗性凝血等严重并发症。
延伸阅读
肝血管瘤常规首选超声检查,再结合CT、MRI以及DSA检查等综合判断。在有乙肝病史或肝硬化的情况下尤其应注意不典型血管瘤与血供丰富肝癌的鉴别,以及不典型血管瘤与肝转移瘤的鉴别。
肝血管瘤作为一种良性肿瘤,大多无症状,且无恶变倾向,原则上以随访观察为主。这是目前国内外普遍接受的观念。若存在以下情况,则建议治疗:1、伴发症状或者出现严重并发症的肝血管瘤;2、进行性增大的肝血管瘤,一般观点认为:每年增速直径>2 cm的情况为快速增长,如初始发现的瘤体已较大,则可能存在并发各种症状的风险,建议酌情治疗;3、 诊断不明确的肝血管瘤。治疗方式包括手术切除、介入栓塞、消融等手段。建议根据具体情况咨询肝胆外科医生。
编辑:周雨霏
编审:李 晓
终审:胡卫锋
急诊电话:0736-2120120
预约挂号:0736-2120000
咨询电话:0736-2120210
健康体检:0736-2120381
(急诊电话24小时在线、其余电话工作时间在线)