2025-03-10 11:58:07
近日,湘雅常德医院普外科成功为一名61岁男性患者实施高难度腹部去分化脂肪肉瘤切除手术。本次手术的成功实施,充分体现了湘雅常德医院在复杂肿瘤诊治方面的综合实力。
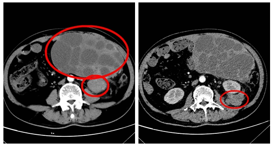
据悉,该患者因持续腹痛10余天来院就诊,经检查发现腹腔内存在多发肿物,较大者约(20×18cm),初步考虑为间叶源性肿瘤,但具体性质尚不明确。入院后,普外科医疗团队为患者进行了增强CT检查与穿刺活检,初步排除了胃肠道间质瘤及淋巴瘤的可能性,考虑诊断为脂肪肉瘤。患者经过多方打听和咨询,了解到廖国庆主任在胃肠道肿瘤领域的权威性,最终选择在湘雅常德医院进行手术治疗。

图中标识处为肿瘤
考虑到肿瘤体积巨大,且血供丰富,由肠系膜下动脉供血,另外在左肾周围另有两个稍小病灶(大小分别约4×4cm及4×8cm),与左肾关系密切,手术难度和风险极高,有可能需联合左肾切除,医院组织了多学科专家会诊,制定了周密的手术方案。2月18日,廖国庆教授团队为患者实施了腹膜后巨大肿物切除手术。手术过程中,廖教授团队克服了肿瘤与周围组织粘连严重、位置深、分离难度大等困难,成功完整切除了肿瘤,并有效控制了出血。
术后,患者恢复顺利,未出现明显并发症,已于近日康复出院。
据主刀医生廖国庆教授介绍,腹膜后脂肪肉瘤是一种较为罕见的软组织肿瘤,该病起病隐匿,进展块,肿瘤生长迅速,容易挤压或侵犯周围脏器。而去分化脂肪肉瘤更是其中恶性程度较高的类型,具有易复发、易转移的特点。
专家提醒,腹部出现不明原因的疼痛、肿块等症状,应尽早就医,进行相关检查,做到早发现、早诊断、早治疗。
急诊电话:0736-2120120
预约挂号:0736-2120000
咨询电话:0736-2120210
健康体检:0736-2120381
(急诊电话24小时在线、其余电话工作时间在线)