欢迎来到湘雅常德医院官网!
  • 微信公众号

  • 支付宝二维码

  • 云闪付二维码

科室导航
信息动态
您现在的位置: 首页>>科室导航>>临床科室>>普通外科>>信息动态
湘雅常德医院普外科成功开展一例多脏器联合切除术

2025-05-19 17:25:52

党支部:第九党支部 第三党支部科室:党政办 普外科作者:腾燕妮 李泽民点击数:

    近日,湘雅常德医院普外科廖国庆教授团队成功开展一例多脏器联合切除术,一次性切除近端胃、胰体尾及脾脏,并用“双通道法”为患者重新建立消化系统,解除病灶,提高患者生存质量。

    今年64岁的徐先生,一月前出现每日进食后感上腹部疼痛不适,呈阵发性钝痛。在当地医院就诊,检查发现左上腹有一肿物。听闻廖国庆教授在湘雅常德医院,为求进一步治疗,徐先生一家慕名来到湘雅常德医院普外科就诊。

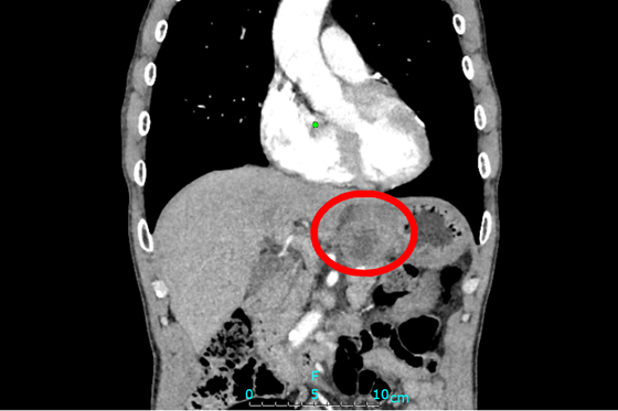
肿物位于胃与胰腺之间


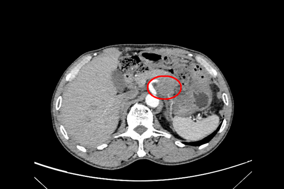
图示肿物与血管关系

    廖国庆教授接诊病人后,尽快安排患者完善术前检查。增强CT等影像显示:胃小弯处肿瘤,大小约5×4cm,考虑胃恶性肿瘤,肿瘤与胰体尾部及脾动脉关系密切,不排除胰腺肿瘤可能。廖国庆教授表示:单纯行近端胃切除术可能无法完整切除肿瘤,术中可能需行联合脏器,即:近端胃+胰腺体尾部+脾脏切除术,才能将完整切除肿瘤,达到根治性切除。但手术难度大,创伤大,肿瘤包绕腹腔干,因腹腔干由腹主动脉发出,并分出胃左动脉,脾动脉,肝总动脉三支重要血管及其分支血管为胃、脾脏、肝脏、胰腺及十二指肠等重要器官供血,此处结构复杂,重要血管交错,稍有不慎极易出现大出血的情况对医患双方都是巨大挑战。经团队讨论后,结合患者一般情况,最终决定为患者实施手术治疗。术中探查也证实了术前判断,肿物与胃、胰腺及脾动脉密不可分,最终为患者实施:近端胃切除术+胰体尾部切除术+脾切除术+淋巴结清扫术。同时,采用“双通道法”为患者进行消化道重建,减少反流性食管炎及因维生素B12缺乏导致的巨幼红细胞贫血发生的可能性。

    据悉,此例左上腹部多脏器联合切除术是目前我院普外科开展的最复杂,难度最高的腹部外科手术。在麻醉手术部的精准麻醉和通力配合下,廖国庆教授带领团队成员晏建华副主任医师、李泽民医师用时3.5小时,顺利完成了手术。患者术后早期进食流质,恢复良好,无任何并发症发生,于术后1周康复出院。

急诊电话:0736-2120120
预约挂号:0736-2120000
咨询电话:0736-2120210
健康体检:0736-2120381
(急诊电话24小时在线、其余电话工作时间在线)

地址:常德市武陵区朗州北路西侧月亮大道

Copyright 2017 - 2018 湘雅常德医院 All Rights Reserved 湘ICP备18010108号

Designed by Wanhu

工业和信息化部ICP/IP地址/域名信息备案管理系统