2022-10-09 15:23:47
半年前家住桃源县的李阿姨发现自己出现不明原因上腹部饱胀、食欲减退,精神状况逐渐变差,且症状越来越重,为了查找原因,李阿姨在当地医院就诊,检查发现右肝巨大肿物,李阿姨在朋友推荐下立即来到湘雅常德医院普外科就诊。普外科主任肖广发详细了解李阿姨病情后,即刻让患者入住湘雅常德医院普外科。

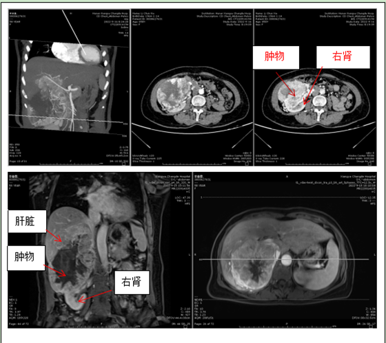
李阿姨入住普外科后,科室迅速对李阿姨进行相关检查,CT和磁共振均确定可能是巨块型肝癌。李阿姨没有乙肝背景,不喝酒,无脂肪肝,无肝硬化,肝癌缺乏诱因,且李阿姨的肿瘤标志物均正常,无疑使诊断变得扑朔迷离。仔细阅片可知肿物上顶肝脏、下压右肾,与肝肾关系均密不可分,李阿姨高血压多年,服用硝苯地平片降压,但血压控制欠佳,一度怀疑肿瘤是否来源肾脏或者肾上腺,因此进一步进行了相关检验予以排查。

针对李阿姨病情,湘雅常德医院普通外科团队在肖广发教授带领下,为她做了充分的术前检查评估,组织全科进行疑难病例讨论,并请泌尿外科一起协助诊疗。经过详细讨论后,一致认为李阿姨腹腔内肿物有三个来源可能:其一,肝脏肿瘤;其二、右肾肿瘤;其三、腹膜后肿瘤。无论是何来源,肿物都存在手术切除可能。鉴于肿瘤巨大,与下腔静脉紧密粘连推挤,周边迂曲增粗血管非常多,紧贴第一肝门入肝血管,操作空间有限,手术方式可能采取右半肝切除+胆囊切除+右肾切除的多个脏器联合切除,手术难度、创伤极大。在征得李阿姨及其家属同意后,经过缜密规划和准备,手术按计划进行。

承载着李阿姨一家的信任,在泌尿外科、麻醉科等团队的全力配合下,普外科团队细致操作、步步为营,经过近10小时的不懈努力,成功为李阿姨移除肿瘤,并在术后病检证实为肾透明细胞癌侵犯肝脏。李阿姨在家人和医务人员的精心照顾下,很快就康复出院。 编辑:胡泽涛 编审:李 晓 终审:胡卫锋
急诊电话:0736-2120120
预约挂号:0736-2120000
咨询电话:0736-2120210
健康体检:0736-2120381
(急诊电话24小时在线、其余电话工作时间在线)