2019-03-06 16:06:44
近日,我院心胸外科团队成功完成首例超声引导下经皮房间隔缺损封堵术以及首例超声引导下经胸小切口室间隔缺损封堵术。

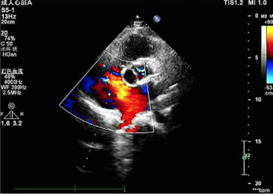
陈阿姨房间隔缺损封堵术前超声检查
家住常德澧县的陈阿姨是一位52岁的家庭主妇,半年来反复出现胸闷气促乏力,近一周多伴有明显咳嗽,慕名 来我院心胸外科就诊,心脏彩超提示为先天性心脏病:心脏超声检查提示陈阿姨的房间隔缺损范围较大、距上腔静脉的边缘较近。据了解,此种房间隔缺损在以前属于介入手术的“相对禁忌”。按照传统开胸手术,不仅风险大高,手术创伤大,而且术后恢复时间长,大多数患者都有恐惧心理。
心胸外科主任黄日茂教授组织心胸外科与麻醉科团队进行了充分认真的术前讨论和准备,并排除可能合并的心脏畸形,陈阿姨有可能通过超声介入手术的方法治疗,同时也向陈阿姨的家人介绍了病情和手术难度及风险,得到了陈阿姨家人的充分理解和支持。

术中操作

术后复查经食管超声心动图
在黄日茂教授、龙隆教授的带领下,以及麻醉科的支持配合下,经过约30分钟的努力,心胸外科团队在陈阿姨的心脏中植入了22mmASD封堵器,术中超声显示封堵器位置、形态良好,房间隔分流消失,听诊杂音消失,手术顺利结束,参加手术的医生护士和陈阿姨的家人一样露出了欣慰的笑容。

急诊电话:0736-2120120
预约挂号:0736-2120000
咨询电话:0736-2120210
健康体检:0736-2120381
(急诊电话24小时在线、其余电话工作时间在线)