2019-11-16 08:30:25
家住鼎城区48岁的李阿姨,10余年来一直被“头痛”所困扰。李阿姨因头痛晚上辗转难眠,白天精神不振,饱受折磨。为治此病四处求医,常德、长沙各大医院检查均未发现头部异常,治疗效果一直不理想。
今年李阿姨健康体检时行心脏彩超检查发现:心脏卵圆孔未闭。难道李阿姨的头痛会与这个问题有关吗?

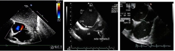
卵圆孔未闭超声图
李阿姨明确为卵圆孔未闭后立即就诊于我院心胸血管外科,由中南大学湘雅医院委派至我院心胸血管外科黄日茂科主任分析了患者的病情后,考虑患者的头痛与卵圆孔未闭有关,建议李阿姨行封堵手术治疗。

卵圆孔未闭是一种先天性心脏结构异常。卵圆孔是心脏房间隔胚胎时期的一个生理性通道,正常情况下婴儿出生后2个月左右融合,若超过1岁未能融合则形成卵圆孔未闭。当各种原因(如剧烈运动、咳嗽、潜水等)导致患者右心房压力超过左心房压力时,卵圆孔未闭可致心脏内血流出现明显的右向左异常分流。从而引起不明原因的脑卒中、偏头痛、减压病、斜卧呼吸-直立性低氧血症等相关临床综合征,开始出现相应症状,包括不明原因的的头痛、头晕、呼吸困难或肢体无力。

房缺封堵示意图
卵圆孔未闭封堵术避免了常规心脏手术需要开胸手术治疗,创伤小,恢复快,手术时间短,手术一天便可下床活动。李阿姨于近日顺利完成卵圆孔未闭封堵术,术后李阿姨头痛的症状再也没有出现过,十几年的老头痛终于治愈了,李阿姨的脸上终于露出了久违的笑容。李阿姨感叹道,这十几年来求医原来搞错了方向,头痛不一定是医头反而要医心。
黄日茂主任在湘雅医院心胸外科工作20余年,主刀各类心脏普胸手术4000余例,在各种复杂心脏病手术,冠状动脉搭桥和大动脉外科治疗方面达国内先进水平,在国内较早开展微创外科手术,取得良好的社会效益。湘雅常德医院心胸外科已常规开展各类胸腔镜微创胸外科手术、房室缺封堵术、非体外循环下冠状动脉旁路移植术(冠脉搭桥)、心脏瓣膜置换术、心脏瓣膜成形术、法洛四联症根治术、复杂先心矫治术、动脉夹层外科手术并首次在湘西北区域开展了TAVI手术。
急诊电话:0736-2120120
预约挂号:0736-2120000
咨询电话:0736-2120210
健康体检:0736-2120381
(急诊电话24小时在线、其余电话工作时间在线)