2020-08-10 16:55:12
所谓“有疾就医、对症下药”,但如果所患疾病十五年来都未查明病因,可想而知,在这十五年间,患者的生活失去了多少色彩、背负着怎样的压力。近日,湘雅常德医院心胸外科团队为一缩窄性心包炎患者成功实施心包剥脱术,为患者解除了十五年来的“心病”。
56岁的刘先生反复胸闷气促、全身浮肿的症状已长达15年,在这十五年间,每当发病时,刘先生辗转各大医院均接受激素治疗,但仍是“治标不治本”。近日,刘先生带着一丝希望来到湘雅常德医院风湿免疫科就诊。但这一次,风湿免疫科游运辉主任认为,结合患者既往有心包积液病史、腹腔胸腔大量积液的情况来看,刘先生的病因极有可能与心包有关。
随即,游运辉教授联合心胸外科团队进行会诊,在详细了解患者病史及相关症状后,心胸外科团队考虑其为心包缩窄所致,遂将刘先生转入心胸外科进行进一步治疗。


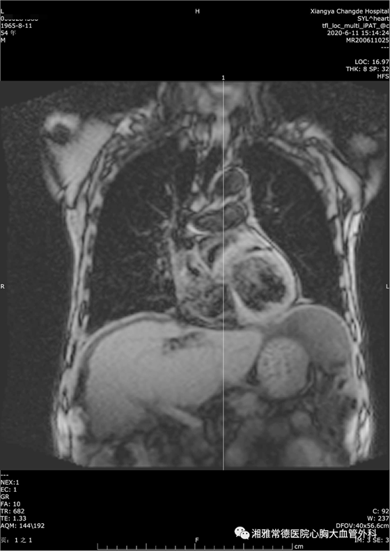
经黄日茂教授查房及科室充分讨论后,认为患者胸闷、全身水肿、多浆膜腔积液应该是心包缩窄导致静脉回流受阻所致。但患者影像检查是不典型的心包缩窄,胸部CT仅见心包部分僵硬、心包少许钙化,心脏彩超发现心包增加不明显,这也是患者多年来一直诊断不明确的根本原因。
刘先生的症状基本符合典型的心包缩窄,可以行手术剥除增厚的心包而减轻胸闷症状。当医生团队告知患者及家属后,患者很吃惊,因为在他患病的十五年间里,他反复辗转各大医院,并未查明是心包缩窄所致。这个病已经折磨了他十五年,如果再不能明确诊断,面临他的极可能是死亡。因为近期刘先生已经食欲明显下降,胸腹部大量积水,家人及邻居都认为他已处于癌症晚期没有医治的可能了。经过黄教授的耐心解释及告知手术必要性、手术风险等后,刘先生这才觉得自己从绝境的边缘看到了一点“生”的希望。他决定,无论多大风险都要冒险“赌一把”,因为这是他唯一的一次机会,这根救命稻草不能丢。
完善相关术前检查后,发现无绝对手术禁忌。为慎重起见,心胸外科团队针对刘先生的病症做了充分的胸部疾病MDT及全院讨论,最后同意其心包炎的诊断,并行心脏MRI做进一步确诊。
6月29日,手术如期进行,当黄教授团队打开患者胸腔时,看到心包纤维化,部分缩窄增厚,特别是上下腔静脉处,这无疑证明了黄日茂教授术前的诊断是正确的。术中予以剥除了增厚的心包,在剥除外面那层与心脏完全粘连的外衣时,还不能损伤心脏,手术必须特别小心,不然极容易造成大出血。


术中
好在手术十分顺利,术后患者由术前的心房颤动转为正常的窦性心律,尿量逐渐恢复正常,原本每天尿量300-500毫升(正常人每天至少1000-2000毫升),而且还需要大量的利尿剂。刘先生握着黄教授的手激动说道:“我终于是个正常人了,我这个病不是癌症,十五年来从来没有这么舒心过,感谢您们给了我第二次生命!”
据黄日茂教授介绍,缩窄性心包炎是指心脏被致密厚实的纤维化或钙化心包所包围,使心室舒张期充盈受限而产生一系列循环障碍的疾病。缩窄性心包炎继发于急性心包炎,其病因在我国仍以结核性为最常见,其次为急性非特异性心包炎、化脓性或创伤性心包炎演变而来,心脏手术,纵隔放疗也可引起。常见症状为呼吸困难、疲乏、食欲不振、上腹胀满或疼痛。早期施行心包切除术是治疗缩窄性心包炎的根本方法。此病可引发心包积液。
编辑:周雨霏
责编:胡卫锋
急诊电话:0736-2120120
预约挂号:0736-2120000
咨询电话:0736-2120210
健康体检:0736-2120381
(急诊电话24小时在线、其余电话工作时间在线)