2023-09-22 08:13:48
近日,湘雅常德医院心胸外科为一名40岁“先心病”患者成功实施首例胸腔镜下动脉导管未闭结扎术。

今年40岁的刘女士从小就检查发现患有先天性的心脏病,但由于当时的医疗及经济条件限制,刘女士当时并未进行治疗。加之,刘女士年轻时也没有明显的症状,便一直没有当回事。随着年龄的增长,心脏长时间的超负荷工作,刘女士越来越感到胸闷、乏力,稍微活动便呼吸急促,心慌气短,于是,刘女士下定决心要解决心脏问题。经过多方打听,刘女士最终选择了湘雅常德医院就诊。

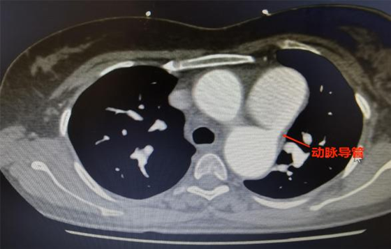
湘雅常德医院心胸外科何志伟医师接诊患者后,完善相关检查发现:患者存在先天性的动脉动脉未闭,即新生儿出生后主动脉与肺动脉之间的交通并没有完全闭锁,还存在一个约7mm左右的通道。主动脉有血液分流至肺动脉,导致肺动脉高压以及左心长期高负荷工作,左心扩大,长此以往易导致患者心功能衰竭。
病人住院后,以张阳春主任为首的心胸外科团队反复研究分析患者病情,考虑到一般治疗动脉导管未闭的手术方式有传统的开胸缝扎,这种手术方式是最安全,即使术中出现出血意外也容易控制,但是创伤大,术后恢复慢,胸部手术切口长,不美观。另外还有介入下的封堵术,这种手术方式创伤小,但是存在费用高、患者术中需要照射大量射线、同时有封堵伞脱落的风险。经过讨论,考虑到患者动脉导管未闭为管型,且长度约有1cm,张阳春主任团队决定采用微创胸腔镜下给患者行动脉导管未闭结扎术,此种手术方式即能达到微创、损伤小的目的,又能兼顾到费用低、疗效确切。但这种腔镜手术需要主刀医生不仅熟知心脏大血管知识,而且需要同时熟练掌握胸腔镜技术,对主刀医生手术操作有更高的要求。为了保证手术的成功,医院麻醉科特意安排熟练术中食道超声的郏治平、方磊麻醉医生为手术保驾护航,为外科医生手术操作指明方向。

9月15日,在心胸外科和麻醉科的共同配合下,我院首例胸腔镜下动脉导管未闭结扎术顺利开展,手术前麻醉科医生经过食道超声确定患者动脉导管未闭存在大量分流。术中,心胸外科医生在食道超声引导下确定动脉导管未闭的位置并充分游离导管周围组织,导管游离后以丝线反复结扎3次并最后以钛夹加固夹闭确保结扎确切。最后在术中食道超声检查下确定患者动脉导管未闭结扎完全,分流消失,手术顺利完成。患者术后恢复良好,第二天便能下床活动,听诊心脏杂音完全消失。
据张阳春主任介绍,动脉导管未闭这种先天性心脏病,最好是早期进行手术治疗,因为早期对心功能影响少,术后恢复好,像刘女士这种40岁才手术治疗的比较少见。而手术方式的选择,传统的开胸手术因为创伤大,术后恢复慢逐渐很少医生采用。随着胸腔镜技术的逐步发展及推广,越来越多的医生开始尝试在微创胸腔镜下行动脉导管未闭结扎术,这种方式手术创伤小,术后恢复快,手术费用也低,对患者来讲是一个很好的手术方式选择。
编辑:腾燕妮
编审:李 晓
审核:胡卫锋
急诊电话:0736-2120120
预约挂号:0736-2120000
咨询电话:0736-2120210
健康体检:0736-2120381
(急诊电话24小时在线、其余电话工作时间在线)