2019-12-24 08:35:38
日前,12岁的蓓蓓(化名)兴奋地来到湘雅常德医院骨科病房,将自己才获得的“四好学生”证书拿给医生哥哥姐姐们看。谁能想到,这个开朗活泼的小女孩一年前曾面临截肢,因辗转于医院与医院之间不得不离开学校。而现在她却能自如地行走在校园里,做回那个天真烂漫的小女孩了。

2018年1月,11岁的蓓蓓突然觉得右小腿红肿疼痛,伴有高热畏寒,于当地就诊后诊断为右胫骨急性血源性骨髓炎,但由于对此疾病的认识不足,未及时彻底控制急性骨髓炎的进程,最终发展成慢性骨髓炎并病理性骨折。随后的一年,蓓蓓去到了大大小小的医院,经历了大大小小的手术均未取得好的成效,还曾被专家告知将面临截肢,本该活泼好动的她逐渐变得郁郁寡欢。

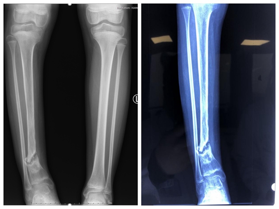
入院检查:胫骨骨缺损,骨不连,已完全丧失功能
由于胫骨下段血运较差,软组织抗感染能力很弱,且靠近病变靠近骨骺端,该处慢性骨髓炎的治疗较为困难。加之,蓓蓓存在畸形骨缺损、骨不连,将来踝关节功能障碍,畸形发育的风险高,如果感染控制不了,仍然有迁延不愈的风险。创伤组组长王穗源副主任医师组织了全科讨论,为蓓蓓“量身定制”了手术方案。1月11日,王穗源副主任医师主刀为蓓蓓行骨髓炎病灶清除,Ilizarov外固定技术辅以抗生素硫酸钙骨髓泥填充诱导成骨技术,畸形矫正,诱导成骨一步到位。

术后胫骨开始愈合,初步具有支撑下肢活动的能力
急诊电话:0736-2120120
预约挂号:0736-2120000
咨询电话:0736-2120210
健康体检:0736-2120381
(急诊电话24小时在线、其余电话工作时间在线)