2020-01-21 15:05:12
髋部骨折是老年人的第三大“杀手”,统计数据显示,髋部骨折是老年人常见的严重损伤,成为继心脑血管疾病和肿瘤后第三大老年人“杀手”。因为老年人骨质疏松,骨骼脆性增加,仅轻微外伤就会造成骨折,尤其以髋部骨折最常见,并且最容易出现严重并发症,也被称之为:“临终骨折”。

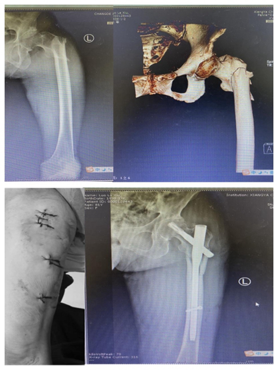
患者:罗某,86岁

患者:曹某,78岁

患者:王某,102岁
湘雅常德医院开院以来,主要收治的髋部骨折患者年龄从70-102岁不等,且多伴有心肺功能不全,合并多种内科疾患,具有手术风险高、难度大的特点。在科主任张朝跃主任医师和创伤组长王穗源副主任医师的带领下,与全院各临床科室、麻醉、手术部进行多学科合作,开展了一系列针对高龄及超高龄患者的髋部骨折个性化手术治疗,术后2-3天即可扶助下地行走,患者及家属满意度极高,极大地减轻了老年患者的痛苦,延长了患者的生命,减轻了家庭护理负担,获得了良好的社会口碑。

“临终骨折”患者重获新生
湘雅常德医院源于湘雅,立足常德,服务湘西北,立志为更多的骨科患者带去康复的福音。
急诊电话:0736-2120120
预约挂号:0736-2120000
咨询电话:0736-2120210
健康体检:0736-2120381
(急诊电话24小时在线、其余电话工作时间在线)