2020-03-24 16:41:28
近日,湘雅常德医院检验科正式启用全自动推片染色仪及自动阅片仪,以此代替绝大部分手工涂片来复检血常规。至此,我科XN-9000血液分析流水线智能化管理系统已全面启用。

SP-10全自动推片机和DI-60全自动细胞形态分析仪

搭载推片机和阅片机后的XN-9000血液分析流水线
该流水线的应用为现代医学检验实验室的工作效率和服务质量的提高奠定了基础。我科XN-9000血液分析流水线硬件上由Sysmex TS-10试管管理系统、XN-9000血液分析仪、SP-10全自动推片机和DI-60全自动细胞形态分析仪组成,依托医院信息管理系统(HIS)、实验室信息管理系统(LIS),借助轨道控制系统软件(Lasc)和数据处理、复检规则软件(Laboman)等软件功能,通过条形码技术、时间节点控制、内置复检规则、全自动推片染片阅片有机结合,建立了血液分析智能化管理系统。合理、有效地应用该管理系统是保障实验室工作烦而有序、忙而不乱的根本。

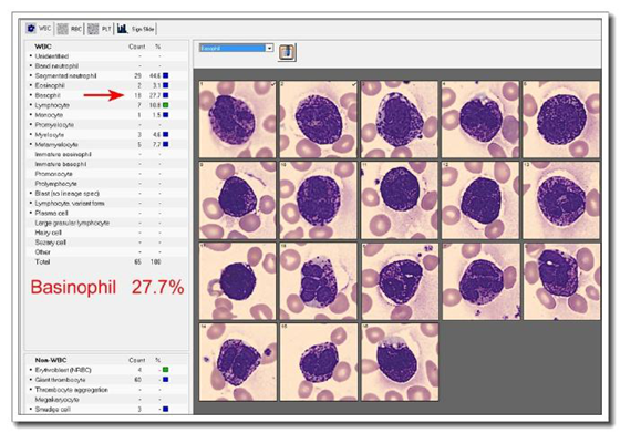
智能系统自动推片提示异常血常规镜下结果
全自动推片染色仪及自动阅片仪通过软件设置合理的血液分析仪复检规则,对血液分析仪检测结果异常的标本进行自动筛选和标记,并用自动推片染色仪进行推片和染色。自动阅片仪可清晰捕获多张细胞图片,并对细胞进行分类;可根据图片观察白细胞、红细胞及血小板形态是否异常、血小板有无聚集等。
通过对全自动推片染色仪及自动阅片仪的应用,既能够明显提高对各类细胞分类的一致性,给临床提供准确、可靠的分析数据,同时也大大提高了工作效率,促进检验科向快速、准确、及时地发放报告迈进了一大步。
编辑:周雨霏
责编:胡卫锋
急诊电话:0736-2120120
预约挂号:0736-2120000
咨询电话:0736-2120210
健康体检:0736-2120381
(急诊电话24小时在线、其余电话工作时间在线)