2019-04-11 14:46:14
家住湖南南县的李阿姨,4月前曾因脑外伤在湘雅常德医院神经外科就诊,经历一番详细检查,医生却意外发现患者双下肢色素沉着,询问患者才知其症状已持续一年了。通过全方位检查,患者下腔静脉闭塞,肝静脉显影不佳,并腹腔内多发静脉迂曲增宽,腰静脉及腹壁静脉增宽,奇静脉开放,脾肾分流,考虑为布加综合征。

布加综合征术前
布加综合征是由于肝静脉和(或)下腔静脉血流受阻导致门静脉及下腔静脉高压的临床综合征。其临床表现多样,具有特征性短期内出现大量腹腔积液,肝脏增大,如果不及时诊断及治疗,将会导致门静脉高压及食管静脉曲张破裂出血、肝功能不良、凝血功能障碍,晚期更是会导致肝衰竭和肝性脑病致死。李阿姨则是因为此病引起的静脉性淤血而造成双下肢色素沉着,但当时李阿姨存在脑外伤,医生建议延期手术。
4个月后,李阿姨再次来到医院,放射介入科以布加综合征将李阿姨收入科室进行治疗。
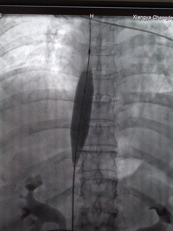
球囊扩张
3月25日,在放射介入科主任胡康新教授的指导下,汤金城医师、李毅副主任医师和黄彬副主任医师为患者实施介入治疗。手术在DSA引导下,医生先经股静脉置管进行造影,明确诊断并确定了病变类型,观察下腔静脉的狭窄程度和梗阻远端有无血栓以及肝静脉是否通畅。随后从右颈静脉插入另一导管,经上腔静脉和右心房导入下腔静脉上端,两根导管同时注入造影剂,以便更清楚的了解病变长度。在明确了病情后,医生再经导丝插入球囊扩展导管置狭窄处,经反复扩张后,直至球囊完全张开。扩张后,植入内径合适的“Z”形支架。手术仅历时一个半小时,手术顺利完成,病人安返病房。

支架植入术后
目前,介入治疗是布加综合征的首选治疗方案,相较外科全麻开胸、开腹,介入治疗作为非开放式手术,手术创伤小,安全性高,病人所受痛苦小,还可重复进行。未来,随着介入学科的发展,介入治疗将代替越来越多的外科手术治疗,成为更多临床疾病诊疗的首选方案。
急诊电话:0736-2120120
预约挂号:0736-2120000
咨询电话:0736-2120210
健康体检:0736-2120381
(急诊电话24小时在线、其余电话工作时间在线)