2021-02-10 09:53:26
近日,来自湖南津市的马女士突发高烧、气促呕吐,一度病情危重住进了ICU(重症监护室)。胸片显示双肺大片渗出病灶,经我院多方排查最终确诊为“鹦鹉热”。在重症医学科的及时救治下,患者病情逐渐稳定,现已康复出院。
病症无因,诊断未果
57岁的马女士年近花甲,半个月前开始出现头晕、乏力、呕吐等症状,同时伴有发热、气促和咳嗽,在当地医院接受治疗后并未见明显好转且病情愈加危重,遂于近日转入我院重症医学科做一进步治疗。
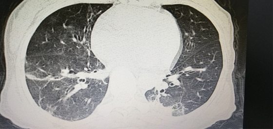
入院检查CT显示“双肺散在片状、大片状密度增高灶及模糊影,内见含气支气管影,右侧胸腔少许积液,心包少量积液”,临床表现为呼吸衰竭Ⅰ型、重症肺炎、低蛋白血症、电解质紊乱等症状。向开旺医生询问家属病史及查询外院检查单得知,马女士反复高热不退,血常规白细胞及血小板正常,淋巴细胞下降,常规病原微生物检测未见异常,在二级医院已使用3天高档抗生素,并未好转,且一直未查明病因。

胸片显示双肺大片渗出病灶
“患者入院时持续高热,伴咳嗽、乏力,而且感染很严重,肺部大片渗出病变,考虑病毒等非典型病原体感染的可能性极大。”据湘雅常德医院重症医学科主任明广峰副教授介绍,在排查了一系列感染病毒后,一直未查到明确的病原体。于是立即组织科室医护人员研究治疗方案,并开展呼吸循环支持治疗、俯卧位、抗感染、营养、纠正内环境紊乱等一系列救治处理。在保证脏器功能的前提下,明广峰主任迅速组织全院多学科专家进行病例讨论和会诊,查找致病病原体。
罕见“鹦鹉热”,警惕家中禽
专家指出,一般肺炎在如此强烈的抗感染治疗之下效果显著,但马女士的这类症状极有可能是特殊病原体。经医护团队再次询问家属病史得知,原来,马女士家中最近饲养了两只鹦鹉,那么,马女士的病症很有可能是感染了鹦鹉热肺炎。

经治疗患者“白肺”得到明显改善
向开旺医生立即为马女士实施了纤维支气管镜检查,通过肺泡灌洗液高通量测序技术也发现“鹦鹉热衣原体”,真相水落石出。明确了病因,在针对病原菌治疗后,马女士很快退热,“白肺”得到明显改善,病情逐渐好转,经过重症医学科医护团队21天的精心照护,最终康复出院。

明广峰主任提醒,鹦鹉热肺炎由鹦鹉热衣原体引起,在临床上比较少见,主要由呼吸道进入机体,被病鸟啄伤、抓伤,屠宰拔毛等亦可感染。感染后,主要表现为高热、头痛、干咳等与上呼吸道感染相似的临床症状,少部分患者可能并发重症肺炎。老年人、养鸟者或与家禽密切接触的人群最易患病,一旦出现发热和呼吸困难,需及时到医院就诊,以免贻误治疗时机。
编辑:周雨霏
责编:胡卫锋
急诊电话:0736-2120120
预约挂号:0736-2120000
咨询电话:0736-2120210
健康体检:0736-2120381
(急诊电话24小时在线、其余电话工作时间在线)