2023-05-29 14:33:45
近日,来自慈利县的王先生半年前在乡间小道上不慎摔倒,被路边竹子插入左侧腋窝,在当地医院简单清创后回家,后因伤口反复流脓辗转多家医院住院治疗,均未得到有效治愈,且伤口持续“不愈合”、“流脓”。伤口反复溃烂半年有余,现伴随感染溃烂,左肩逐渐出现僵硬、挛缩,活动明显受限等情况,严重影响王先生的日常生活及工作,经过多方打听后前往湘雅常德医院整形美容烧伤皮肤科就诊。

住院期间,经医生详细询问病史了解到,王先生摔倒后被竹子插入左侧腋窝,于当地医院清创时已取出腋窝处竹子,后伤口持续不愈合且反复流脓溃烂,半年来于多家医院住院治疗,花费了数万元的医疗费,均未得到治愈。王先生自觉治愈无望,家庭经济条件有限,遂失去了继续治疗的信心,后经朋友无意中介绍得知,湘雅常德医院整形美容烧伤皮肤科主任黄晓元教授是创面修复方面的专家,下定决心前来就医,希望根治腋窝“溃烂”。
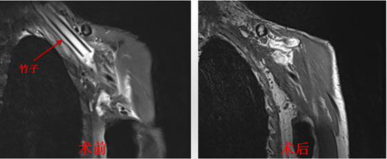
在反复仔细询问患者受伤及后续治疗病史后,完善相关检查,对病情进行全面评估后,确定从腋窝插入的“竹子”深入颈胸部,位于锁骨下方,锁骨下动脉及肺尖旁。根据患者实际情况,由整形美容烧伤皮肤科李连楚主任医师主刀,在全麻下为患者行左颈胸部清创探查异物取出术。全麻插管后,沿左腋部窦道口至颈胸部竹子插入方向进行切开,仔细探查,避开锁骨下动脉及周边神经,发现“竹子”,成功予以取出,异物为新鲜竹子断端,末端齐整,直径约1厘米,长约8厘米,再次仔细探查确定无残余异物后,反复清洗伤口窦道,放置引流管,予以修复封闭伤口,历时3个小时,完全取出“罪魁祸首”。术后安返病房,在医护团队精心治疗下,最终康复出院。

据黄晓元教授介绍,根据患者病史描述,患者已于外院多次治疗,均只是予以单纯局部清创治疗,未深入探寻病因治疗,这就使得治疗过程中极其容易漏掉异物已深入颈胸部的事实,造成了治疗时机的延误,导致伤口反复溃烂,对于类似情况的慢性窦道治疗,整个治疗过程都十分考验医生对细节的探究与耐心,具有很重要的警示意义。
编辑:周雨霏
编审:李 晓
终审:胡卫锋
急诊电话:0736-2120120
预约挂号:0736-2120000
咨询电话:0736-2120210
健康体检:0736-2120381
(急诊电话24小时在线、其余电话工作时间在线)