2018-12-05 15:59:53
近日,湘雅常德医院泌尿外科专家顿金庚及团队成功完成了腹腔镜下右肾癌根治术及腔静脉Ⅲ级瘤栓取出手术,这标志着我院泌尿外科腹腔镜手术水平达到先进水平。
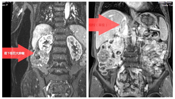
一个月前,家住常德77岁的田奶奶一个月内反复双侧下肢水肿,又伴腰部疼痛不适到当地医院检查发现右肾巨大占位。

田奶奶家人慕名找到湘雅常德医院泌尿外科专顿金庚教授及团队,经过进一步检查,确定肿瘤位于右肾下端,最大直径达10厘米,同时形成长段静脉癌栓,相当于肿瘤沿右肾静脉进入下腔静脉内,癌栓分级为Ⅲ级瘤栓。而下腔静脉是下肢、部分盆腔和腹膜脏器的血液回流到心脏的主要通道。癌栓随时可能脱落,一旦癌栓脱落掉到心脏,进而跑到肺动脉,造成肺动脉栓塞,死亡率极高,抢救成功率非常小,可谓是“高危炸弹”。
静脉系统侵犯是局部进展性肾癌的特点之一,部分侵袭性较强的肿瘤在患侧肾静脉形成癌栓,继而沿着肾静脉生长,进入下腔静脉。右肾癌根治并腔静脉癌栓取出手术需要处理人体主干血管与十余根高血流量的血管,手术操作复杂、难度较大,如果术中操作稍有不慎,癌栓脱落便可以引起致死性的肺栓塞,因此,该手术是泌尿外科风险难度最大的手术。
幸运的是,经过周密的检查,患者的身体其他部位没有发现转移灶。文献报道,肾癌形成下腔静脉癌栓,如果没有远处转移,切除患肾并取出癌栓后,有50%-80%患者能够长期生存。手术无疑是肾癌并伴有静脉癌栓患者的首选治疗方案。

传统的开放手术,需要在患者双侧腹部切口或横跨腹部的人字形大切口,下腔静脉与肾静脉后方的分支血管显露不佳,术中大出血与癌栓脱落的风险高。腹腔镜下可以用腹腔与腹膜后入路联合,在开放手术视野不可及的空间内从容操作,而且,放大6-10倍,更精准,减少对癌栓的碰触与牵扯。最终,经过充分的术前沟通,患者和家属决定进行腹腔镜下手术。

手术历时6个小时,顺利为田奶奶切除患肾及腔静脉瘤栓,患者术后48小时就开始恢复进食与下床活动,体温恢复正常,贫血逐渐纠正,体力恢复。
目前,肾癌根治切除并下腔静脉癌栓取出术,是全世界泌尿外科公认高风险的手术,以往也多采用开放手术方式。腹腔镜完成该手术难度较大,对术者技术要求高。但是,创伤小、合并症少、术后康复快等优点,对于腹腔镜手术经验丰富的医生,是安全有效的治疗方式。
急诊电话:0736-2120120
预约挂号:0736-2120000
咨询电话:0736-2120210
健康体检:0736-2120381
(急诊电话24小时在线、其余电话工作时间在线)