2019-02-14 15:19:06
今年24岁的王女士是常德人,自幼在河南长大。她与相恋一年多的男友今年春节特地回常德举办婚礼。腊月27日举办完婚礼,大年初三当这一对新人正准备踏上返回河南的火车前,妻子被紧急送至湘雅常德医院。神经外科主任袁贤瑞教授原本春节前已返回长沙与家人团聚,听闻患者情况危急,立马乘火车200公里赶回常德为王女士实施手术。
据王女士家人介绍,她在七个月前偶然出现头晕的情况,当时以为是玩手机过度引起颈椎病导致,症状也较轻,便没在意。虽然在这几月中也偶有头疼,但症状较轻,加之,王女士与男友正忙着准备婚礼,就没把头疼当回事。
春节前,王女士与家人高高兴兴地返回至常德老家举行婚礼。婚礼完后,王女士头痛加剧,家人便带她到当地医院检查,经核磁共振怀疑四脑室占位并告知目前他们医院还不具备做头颅手术的条件。第二天,王女士头疼又一次加剧,家人带她去另一家医院看诊,得到同样的结果,也被告知他们医院无法医治王女士的病,因手术难度巨大,建议去湘雅常德医院找袁贤瑞教授试试。
王女士与家人再三考虑后决定回河南后再治疗,于是准备按原计划大年初三坐火车回河南。初三,王女士与丈夫到达火车站后,王女士突然剧烈头痛、呕吐不止。见此情景,王女士丈夫立马把她送到湘雅常德医院急诊科就诊。他们到达医院时已是夜晚11点,急诊科经过简单的处理后立刻联系神经外科。
神经外科袁贤瑞教授,在年前已安排好科室事务后回长沙与家人团聚,临走时交代,科室如有特殊情况第一时间通知他。初四,是袁教授一家人团聚的日子,袁教授及儿女都是医生,一家人能相聚在一起的时间显得格外珍贵。当袁贤瑞教授接到常德来的电话,得知病房里来了一位病情危机的患者,如不尽早手术可能危及生命,袁贤瑞教授决定立马返回常德,考虑到高速拥堵,初四当天袁教授急乘火车200公里从长沙赶回常德。

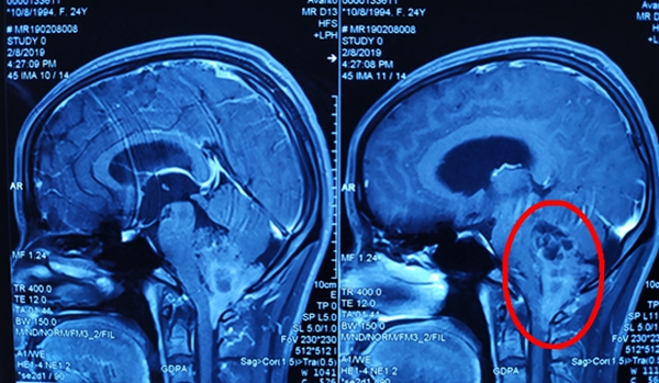
到达常德后,袁贤瑞教授查看病人并阅片后考虑: 患者为四脑室起源肿瘤,肿瘤巨大,向上生长接近中脑导水管下口,向下穿越枕骨大孔侵袭至寰椎下缘,向前压迫脑桥、延髓及部分颈髓,并包绕左侧后组颅神经、面神经等,向后累及双侧小脑扁桃体及小脑蚓部等,已导致小脑扁桃体下疝、梗阻性脑积水的形成。“情况危急,患者随时可能病情加重,出现枕骨大孔疝危及生命,必须尽早手术”,袁教授安排好术前相关事宜,与家属商议后决定初五早上为患者手术。

整个手术历时6小时,在保护好脑桥、延髓及小脑等重要功能区域的前提下顺利切除肿瘤,大小约为6.5cm*5.2cm*4.1cm。考虑肿瘤对脑桥、延髓等生命中枢压迫严重,虽然已手术,解除了肿瘤对上述生命中枢的压迫,但因脑干肿胀、血管痉挛、血运回流障碍等综合因素对脑干影响,术后极易导致患者呼吸衰弱、心率不稳、血压下降等呼吸、循环功能障碍,甚至呼吸、循环功能衰竭,严重时可出现呼吸骤停,若抢救不及时,极易出现生命危险。术后王女士立即被送往重症监护室,严密监测生命体征、观察患者呼吸、循环功能,并通过一系列生命支持及相应诊疗措施,病情稳定好转,术后一直未发现呼吸功能下降、循环功能障碍等异常。见王女士病情稳定后,袁贤瑞教授才安心返回长沙。
初八,王女士恢复良好,已从重症监护室转入普通病房。王女女士的丈夫见到医护人员连连致谢:“感谢医生护士!感谢袁教授,过年特地从长沙赶回常德为妻子手术,是您给了我们这个刚刚才建立的小家庭希望!”
急诊电话:0736-2120120
预约挂号:0736-2120000
咨询电话:0736-2120210
健康体检:0736-2120381
(急诊电话24小时在线、其余电话工作时间在线)