2023-05-05 14:40:11
“我在备考神经外科副主任医师时,看见袁贤瑞教授主编的关于听神经瘤的书籍,我就坚定了要找袁教授动手术的决心!”既是神经外科医生又是听神经瘤患者的曹先生说道。
今年四十岁的曹先生是安徽某地的神经外科医生。去年年初,曹先生突发左侧耳鸣,第一直觉告诉他可能是耳朵的问题,但完善相关检查后并未发现异常。当时考虑到长期晚夜班、劳累会造成的脑供血不足,曹先生便在同事的建议下先服用一些药物进行治疗。
去年8月,曹先生耳鸣的症状并未得到改善,在妻子建议下特地去做了脑部磁共振和脑血管成像,结果显示:听神经瘤。作为神经外科医生的曹先生知道病因后,心里产生了不小的波动。他知道颅内肿瘤,特别是桥小脑角区肿瘤的凶险:一是手术难度大,二是手术凶险程度及并发症高。但万幸的是听神经瘤基本为良性肿瘤,只要手术切的干净,一般不会复发。
曹先生一边四处联系同行打听听神经瘤手术的相关情况,同时,他也在准备神经外科副主任医师的考试。曹先生此时正好在备考教材中看见袁贤瑞教授主编的听神经瘤的相关内容,于是,他通过各种渠道联系到了袁贤瑞教授。
曹先生当时通过从经手的手术例数、效果等各方面的信息综合,得到的反馈是:袁贤瑞教授就是听神经瘤的第一把刀。这就更加坚定了曹先生找袁贤瑞教授手术的决心。
但由于当时国内疫情政策的改变,曹先生选择暂时先全身心的投入到新冠患者的救治,手术的事情暂缓。
今年4月初,曹先生再次与袁贤瑞教授取得联系,并表示手术的决心。于是,曹先生便来到湘雅常德医院神经外科进行手术。

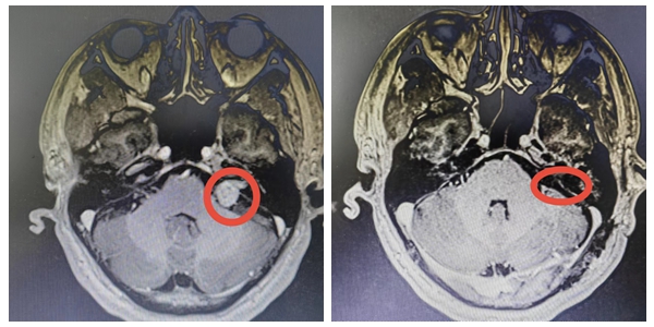
手术前后对比图
经过周密的术前准备,4月中旬,袁贤瑞教授带领姜尚军副主任医生、詹文亮主治医师等团队成员为曹先生进行了手术。术中见肿瘤位于左侧桥小脑角,约2*1.5*1.8cm大小,部分肿瘤伸入内听道,在电生理监测下为曹先生成功的全切了肿瘤,且三叉神经、面神经、蜗神经、后组颅神经及岩静脉保留完好。
经过近10天的治疗,曹先生现已康复出院,面神经功能完整保留。
编辑:腾燕妮
编审:李 晓
审核:胡卫锋
急诊电话:0736-2120120
预约挂号:0736-2120000
咨询电话:0736-2120210
健康体检:0736-2120381
(急诊电话24小时在线、其余电话工作时间在线)