2024-07-02 15:32:27
蝶岩斜区脑膜瘤是起源于蝶骨、斜坡和岩尖区的脑膜瘤,因岩斜区位置隐匿,解剖结构复杂,位于颅底中央区,位置深、基底宽、毗邻脑干,周围包绕大血管和多组颅神经包含:动眼神经、滑车神经、三叉神经、外展神经、舌咽神经、迷走神经、副神经、舌下神经……每一根神经都担负着人体重要的功能,蝶岩斜脑膜瘤切除术一直都是神经外科最富挑战性的手术。近日,湘雅常德医院神经外科团队成功为一名62岁女性患者切除蝶岩斜区巨大脑膜瘤。
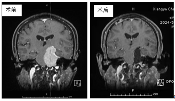
来自江西上饶市的朱女士,近7年来反复出现左耳耳鸣伴听力下降,耳鸣表现为“轰轰轰”声,当时未予以重视,以为就是单纯的年纪大了才出现的一些症状,直到近日因头晕加重,前往当地医院就诊,头颅MRI示:左侧桥小脑角区占位性病变,约53mm*27mm大小,考虑脑膜瘤可能。为求进一步诊疗,朱女士在家属陪伴下慕名来到湘雅常德医院找袁贤瑞教授看诊。
完善相关检查后,为确保手术的成功,湘雅常德医院神经外科团队为朱女士制定了周密的手术方案及预后诊疗方案。

手术当日,袁贤瑞教授带领的以姜尚军副主任医师为主的医疗团队与麻醉医师及手术护士密切配合,在显微镜下,袁贤瑞教授团队以娴熟高超的技术将蝶岩斜区5.5*4*5cm拳头大小的肿瘤全切,患者颅内大血管未见明显损伤,重要颅神经功能保护完好。
“蝶岩斜区脑膜瘤切除术就像在大脑深处进行一场精密的‘拆弹手术’,医生需要在颅底中央区这个‘迷宫’中找到肿瘤并将其切除。这个区域位置深、空间狭小,就像在幽暗的深海中摸索,每一根神经都如同细线,却掌管着人体的重要功能,可以说这场手术的难度就像攀登珠穆朗玛峰一样充满挑战”袁贤瑞教授说道。
目前,手术切除是治疗脑膜瘤尤其是复杂颅底脑膜瘤最有效的治疗方式,袁贤瑞教授在此提醒大家:“如果出现头晕头痛、面容麻木、步履不稳、肢体瘫痪、耳鸣伴听力下降等症状时,应及时就医”。
急诊电话:0736-2120120
预约挂号:0736-2120000
咨询电话:0736-2120210
健康体检:0736-2120381
(急诊电话24小时在线、其余电话工作时间在线)