2025-02-07 08:45:46
高速上突发脑出血会怎么样?近日,一位河北货车司机在常德境内就遇到了这样危急的状况,在发生轻微的交通事故后,高速交警察觉司机口齿不清,意识模糊,一度生命垂危......
“一位身份不明,年龄不明,既往病史不明,考虑脑出血的男病人马上送来……”1月23日中午,湘雅常德医院急诊科接到高速交警的求助电话。
回忆起半月前的抢救,湘雅常德医院神经外科侯小飞医生还记忆犹新,“当时他已昏迷,呼叫不应,伴随小便失禁,嘴角流涎,表情痛苦,情况危急。”
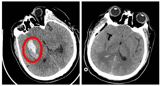
侯小飞仔细检查患者情况并结合CT检查判断,右侧基底节区脑出血。他立刻向神经外科主任刘景平教授汇报患者情况,刘景平教授指示:患者出血量大,手术指征明确,现无家属在患者身边,立即报备医务部开启绿色通道,为患者进行急诊手术挽救生命。在挽救生命的同时,尽量减少神经损伤,最大程度保护患者的运动功能。
这期间,交警立刻通知远在河北的家属。湘雅常德医院也立刻为患者开启绿色通道,所有备皮、气管插管、心电监护等术前准备,在短时间内迅速完成。

手术前后对比图
1月23日15:03,刘景平教授手术团队为患者施行了“颅内血肿清除术”。术中暴露脑组织后分开侧裂血管,仅开放1公分左右的瘘口将脑深部血肿全部清除。手术顺利,术后患者生命体征平稳,带气管插管送入重症监护室进一步监护治疗。
术后第二天患者意识渐清醒,后面经过半个月的治疗患者运动功能恢复良好,行动与正常人无异。2月5日,在家人陪同下,邵先生顺利出院了,“感谢你们医护团队的及时救治,我弟弟才能恢复这么好”家属由衷感谢道。
刘景平教授表示,此次邵先生的病情多是高血压疾病导致颅内突发出血,对普通市民朋友而言,控制高血压、饮食调理、平衡运动、减轻压力和戒烟戒酒是预防脑出血的重要方法。
急诊电话:0736-2120120
预约挂号:0736-2120000
咨询电话:0736-2120210
健康体检:0736-2120381
(急诊电话24小时在线、其余电话工作时间在线)