2020-01-09 09:01:24
年关将至,大快朵颐之时,易大姐却只能望而止步,为何?“我的这颗牙,这颗,还有这颗……都是坏牙,现在疼的不得了,还有我这右下方有一颗牙齿只剩残根了,经常发炎,真的是苦不堪言。”易大姐不停地给口腔科朱彬医师诉苦,“都说牙疼不是病,疼起来还真要命。”

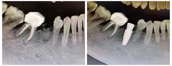
根据易大姐目前的病情,朱彬医师请口腔外科向峰医师会诊,共同为易大姐制定了合适的治疗方案:首先针对口内多颗坏牙再次填充治疗,同时拔除右下方的残牙断根,植入人工牙根。朱彬医师为患者完成了口内坏牙的充填治疗后,向峰医师在不到一小时的时间里将烂牙根替换成人工牙根,牙龈仅缝合2针,坏牙填充无缝与人工牙根植入无缝连接,一气呵成。期间易大姐未有任何疼痛和不适感。3个月后,易大姐便可以任意食用美食了。

向峰医师介绍,将口内不能保留的患牙即刻拔除,然后即刻植入种植体大大缩短了拔牙及镶牙的治疗时间,最重要的是避免了因拔牙后出现的骨吸收,为植入种植体保留了牙槽骨的高度和宽度。此次种植也充分利用牙龈的缺损区将愈合基台接入口腔,避免了种植的2期手术愈合基台的接入,一次性解决多个问题。
急诊电话:0736-2120120
预约挂号:0736-2120000
咨询电话:0736-2120210
健康体检:0736-2120381
(急诊电话24小时在线、其余电话工作时间在线)