2025-03-27 08:33:58
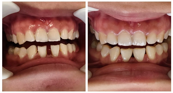
近日,28岁的陈女士,因下门牙“漏风”影响美观和说话,来到湘雅常德医院口腔科就诊。陈女士平时不敢大笑,又因预算和时间关系一直未找到满意的治疗方案。她抱着再试试、多方打听的想法,在与汤锦副主任医师充分沟通后,表示自己想用最少的花费,最“无创”的方法,最快的速度解决牙齿“漏风”问题。
通常解决门牙漏风问题,多采用以牙齿矫正或牙贴面作为治疗方式。部分人通过2年左右时间的牙齿矫正,确实可以将牙缝关闭,让两颗正门牙间的大洞或门面牙齿间的缝隙消失。不过,也正因为牙齿矫正较为耗时且花费上万元,许多人在详细了解后,无奈放弃。除此之外,比较常用的关缝方法是:牙贴面修复,既可以美白牙齿又可以关缝修复牙外形,因费时短,见效快深受欢迎,不过此方案往往是需多颗牙同时微调修复才能达到美观协调效果,单颗牙齿花费至少上千元左右,对于部分人群仍超预算。
针对陈女士提出的“以最少的花费,最无创的方法,最快的速度”诉求,汤锦副主任医师仔细检查后,提出可采用“树脂充填直接修补术”为患者补齐“漏风”的下门牙。
汤锦副主任医师介绍到:“相较于矫正排牙和贴面修复的办法,这种树脂直接充填修复更考验医师的耐心和技术,医生需要全神贯注地利用专业美容树脂和专业充填工具在清洁好的原牙上选色、调色,一层层一点点进行树脂堆塑、光照,雕刻出牙正常解剖结构,然后反复检查咬合关系调修形成牙自然形态,最后仔细打磨抛光,精雕细琢出“天然牙”,达到缝隙收藏,又颜色逼真,还形态逼“真”的自然美观实用效果。当然,这对于患者是利好,一是节约了患者的时间,一次就诊即刻结束;二是为患者节约了70%以上的费用,矫正需要上万元,贴面一颗牙齿要上千元左右,这种树脂充填修补单颗仅几百元。”

在双方沟通确定治疗方案后,汤锦副主任医师立刻为患者牙齿取模,制作导板,然后开始逐步充填修复,一小时后当陈女士看到美丽蜕变的牙齿瞬间洋溢灿烂笑容。
据汤锦副主任医师介绍:牙缝大主要有以下几方面原因:儿童生长发育过程中生理间隙;先天缺牙,牙骨不协调或牙列不齐引起缝隙大;外伤引起牙移位变大;牙周病或增龄变化或存在多生牙引起牙缝变大;不良口腔卫生习惯如长期不正确使用牙签剔牙,食物嵌塞等等因素都可能引起牙缝大,具体治疗方案需要找专业口腔医生进行检查咨询。
急诊电话:0736-2120120
预约挂号:0736-2120000
咨询电话:0736-2120210
健康体检:0736-2120381
(急诊电话24小时在线、其余电话工作时间在线)