2025-09-05 16:00:36
近日,85岁高龄的蔡老先生在向峰医师种植团队的努力下,成功接受了5颗种植牙手术,再次刷新了本院高年龄种植患者的记录。
蔡老先生年事已高,牙齿大部分脱落,长期以来只能进食流食或极其软烂的食物,严重营养不良的同时,精神状态和生活品质深受影响。更棘手的是,他患有多年高血压(3级)并出现频发室性早搏、房性早搏,同时伴有慢阻肺疾病,这为任何形式的复杂口腔治疗都设置了极高的门槛和风险。家人带着老人辗转多家医院求医,但均因其高龄、基础疾病情况复杂、手术风险大而被婉拒。传统的活动义齿患者又难以适应,老人几乎陷入了“无牙可医”的困境,全家人都为此忧心忡忡。
通过介绍,他们找到了湘雅常德医院口腔科向峰主治医师。向峰团队术前对老人的身体状况进行了全方位、多维度的精准评估,认为:患者在系统疾病控制稳定的情况下是可以完成种植手术的。术前,向峰团队为老人制定了详尽的个性化治疗方案和应急预案:选择在心率、血压最稳定的时段进行手术及采用微创种植手术技术以减少创伤和手术时间。

种植手术中
短短的不到一小时,向峰团队顺利为蔡老先生完成了5颗种植牙手术。术中采用动态心电监护系统,通过闭环式氧疗管理,实现手术期间生命体征的精准调控与双重保障。
术后,护士杨梦园详细叮嘱家属术后注意事项,从饮食要求、口腔卫生维护到用药时间,甚至细致到如何观察创口情况,她都一一交代清楚。老人激动地握着向峰医生的手说道:“太好了!谢谢向医生,谢谢大家!这不仅是一次牙齿的重建,更是一次生命活力的重启。”

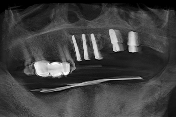
种植体植入术后照片
口腔科主任伍栋表示:在医疗技术飞速发展的今天,种植牙已成为修复缺牙的重要方式。为一位85岁高龄、伴有高血压、心脏病等高风险的患者实施种植牙手术,无疑是对医疗团队技术、护理协作水平的全面考验。
急诊电话:0736-2120120
预约挂号:0736-2120000
咨询电话:0736-2120210
健康体检:0736-2120381
(急诊电话24小时在线、其余电话工作时间在线)