2024-01-23 17:07:49
近日,湘雅常德医院麻醉疼痛科门诊收到一面锦旗,“华佗在世,手到病除”金色的大字在红色的锦旗上愈发亮眼。

“真心感谢蔡博士,他医术高明,在那里治疗扎针一次就治愈了我的疼痛,为他点赞!”蒯奶奶说道。
几个月前,年过70的蒯奶奶发现左侧肢体及肩背部疼痛,难以入睡,近期有加重的情况,蒯奶奶在家属的陪同下来到湘雅常德医院麻醉疼痛科就诊。蔡志扬副主任医师检查发现蒯奶奶左侧肢体穿脱衣物困难,活动受限,经过专业的检查,结合患者既往史、临床表现考虑为:肩周炎伴颈椎病。蔡医生建议给蒯奶奶予“肌筋膜触发点刺激下的针刀松解术”治疗。经过一次独特的疼痛治疗后,蒯奶奶肢体及肩背部可随意活动,疼痛感明显消失,治疗效果满意。
据悉,“肌筋膜触发点刺激下的针刀松解术”是采用针刺的方法根据人体组织结构的解剖学分布特点来充分激活疼痛部位上肌筋膜触发点及进一步的软组织松解方法。传统的针灸学由于对人体解剖的研究还不够充分,是以经络学说为基础,这样对找到精确穴位点往往需反复穿刺和多年的积累才能达到较好的疗效。针刺治疗结合现代解剖学后为针刺点的选择提供了更好的优势,因为医生对人体内部的骨骼、神经、肌肉、血管等组织结构更清晰,对每一个针刺点的具体所在部位都非常了解,这样能快速的积累针刺经验。
有效的“肌筋膜触发点刺激下的针刀松解术”往往治疗一次就能达到临床症状改善的效果,传统的针灸学一般需要每日治疗连续5-7日后才达到同样效果。同时“肌筋膜触发点刺激下的针刀松解术”是采用针刺方法的物理治疗手段,是以改善疼痛部位的组织血液循环,达到消除局部组织损伤引起的炎症刺激反应,是一种针对病因的治疗,经过正规系统的治疗可以达到长期治愈的疗效。随着超声技术的不断发展,医生还可以利用超声更直观的找到软组织内的肌筋膜触发点,对疼痛的治疗更加精准,治疗更彻底。

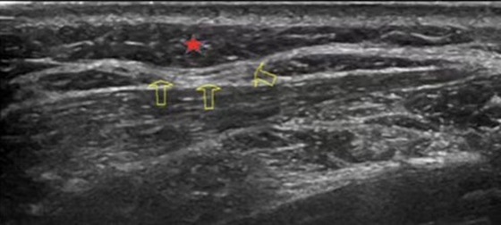
这是一位颈椎病患者肩背部超声下的影像,图像显示浅筋膜层局部增厚(星号),回声减低,左侧斜方肌肌外膜增厚,较模糊,局部呈层状且内凹,致斜方肌局部受压(箭头)。
未来,湘雅常德医院麻醉疼痛科门诊会继续专注于技术的提升,盯紧百姓健康需求和科学发展要求,瞄准前沿技术,努力推动麻醉疼痛科又好又快发展,为患者提供更科学、安全、高效、优质的医疗服务。
急诊电话:0736-2120120
预约挂号:0736-2120000
咨询电话:0736-2120210
健康体检:0736-2120381
(急诊电话24小时在线、其余电话工作时间在线)