2019-07-03 17:16:29
家住常德武陵区的55岁的张大叔,六年前体检发现肝脏占位性病变,曾在湘雅医院肝胆外科做过部分肝叶切除手术,6年来患者因肝癌术后复发先后在湘雅医院行多次经动脉化疗栓塞术(TACE)及射频消融。当得知湘雅常德开院后,张大叔肝癌复发便来到我院进行肝动脉栓塞(TACE)介入治疗。此次,张大叔常规复查,再次以“原发性肝癌” 收入我院放射介入科,医生建议其行肝癌微波消融术。

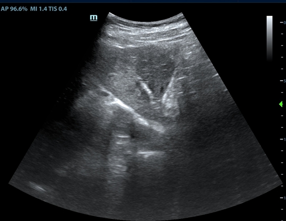
手术在胡康新教授的指导下进行,由汤金城医师、黄彬副主任医师共同为患者实施了微波消融术。患者局部麻醉后,在B超定位下准确刺中左肝病灶,动态消融7分钟,退出消融针后再次B超探查发现左肝另一低回声信号结节,故再次进行动态监测下消融4分钟。术中患者并无明显不适,术后安全返回病房。

急诊电话:0736-2120120
预约挂号:0736-2120000
咨询电话:0736-2120210
健康体检:0736-2120381
(急诊电话24小时在线、其余电话工作时间在线)