2017-12-25 11:11:03
12月15日,袁贤瑞教授带领的团队为脑胶质瘤患者实施精准切除,患者现恢复良好。

患者恢复良好
丁女士最近7天总感觉头晕晕沉沉,有时候头部会胀痛,跟着腰背部也会痛,遂至湘雅常德医院进行核磁共振检查。检查提示:脑室占位,以右侧额角为主。丁女士平时身体都很好,没得过什么大病,当看到检查结果时心下一沉,回家自己便拿着手机左查右查,怀疑来怀疑去,认为是没救了!丁女士的女儿则劝妈妈别多想,去找专家才对。

术前脑核磁共振照片
神经外科主任医师冯智君教授拿着丁女士的片子,把丁女士家人叫到一旁:“你妈妈患胶质瘤的可能性较大,脑室占位多,需尽快手术,但是手术主刀肯定是袁贤瑞教授,你可以放一半的心了!”
12月12日,丁女士被收治入院。袁贤瑞教授宽慰病人:“我们一定尽全力为你治疗,你我一起努力,早日康复!”其实,说起来容易,做起来难。袁贤瑞教授早见过丁女士的诊断结果,肿瘤侵占额、颞、顶叶及双侧基底节区,皮层位置侵及语言中枢,深部破坏,侧脑室壁部分瘤化。即便手术,也很容易出现偏瘫、失语等并发症,手术难度极高。

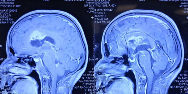
术后脑核磁共振照片
12月15日,袁贤瑞教授团队采用胼胝体入路,分开胼缘、胼周动脉,可见胼胝体膝部及体部,于胼胝体膝部及体部之间切开胼胝体,长约0.8cm,切开后,可见肿瘤突破透明隔,侵入双侧脑室,先进入右侧脑室探查,切除右侧脑室肿瘤。后探查左侧脑室,最后探查双侧脑室及三脑室,术中见双侧脑室均有病灶,大小不一,右侧大小约4*5cm,左侧3*3.5cm,形态不规则,边界不清晰,呈鱼肉状,质软,血运丰富,肿瘤侵及胼胝体膝部、体部、右侧额叶、额角、侧脑室体部、双侧穹隆柱、室间孔、三脑室顶部、部分靠近下丘脑及脉络丛处,侧脑室脉络丛部分参与供血,在显微镜下分块切除肿瘤后。在精密细致的双重探查和精准的手术操作下,既完全切除了脑胶质瘤,又保护朱女士的重要神经功能,手术非常成功,并为丁女士术后的恢复打下了良好基础。
据袁贤瑞教授介绍,丁女士颅内肿瘤侵占部位如此之多,是十分罕见的,且胶质瘤如不切干净复发极快。当胶质瘤位于皮层功能区以及神经通路上时,患者会出现不同程度的功能障碍,如言语不清、肢体无力、感觉异常等症状。额角肿瘤则常常会导致癫痫、反应迟钝,记忆力减退及智力下降等。这些重要功能区的胶质瘤手术,术后偏瘫、失语等功能障碍发生率较高,有时为了功能保护无法全切,有时甚至在不完全切除的情况下也可能造成功能障碍。丁女士此次双侧脑室角及多部位肿瘤,属于恶性的胶质细胞瘤,能够成功完整切除肿瘤并完美保护术后功能,是十分不易的。
术后,丁女士肌力在逐渐恢复,“湘雅常德的神外医护朋友们给了我很多鼓励,冯智君教授每次下班前都会来跟我说加油的话,刘冬喜护士长更是细致入微地照顾我们,虽然得了场大病,也见识了什么叫湘雅医风。”
急诊电话:0736-2120120
预约挂号:0736-2120000
咨询电话:0736-2120210
健康体检:0736-2120381
(急诊电话24小时在线、其余电话工作时间在线)