2025-08-25 14:30:06
近日,湘雅常德医院口腔科成功实施首例腓骨移植区种植牙手术,标志着我院在口腔颌面外科与种植修复领域取得重大突破。该手术通过多学科协作与数字化精准医疗技术,为一例成釉细胞瘤患者在切除下颌骨肿瘤并完成腓骨移植后,成功实现种植体植入,不仅彻底去除病灶,更显著恢复面部美观与咀嚼功能,彰显了医院在高难度口腔颌面重建方面的综合实力。

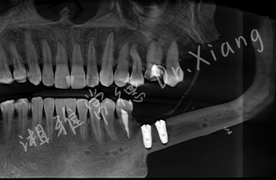
腓骨移植区种植术后影像图
2021年,一位年轻女性因口腔流脓至湘雅常德医院口腔科就诊,初以为牙源性炎症,经抗感染治疗未见好转。影像学检查发现其左侧下颌骨内存在肿瘤,病理确诊为成釉细胞瘤。因病变范围较大,且患者年轻、对美观要求高,不愿直接接受截骨手术,最终选择开窗减压术。治疗初期效果良好,有望最大限度保留颌骨。然而近两年复查时显示肿瘤缩小不明显,伍栋主任立即启动口腔颌面部肿瘤多学科会诊(MDT),经精准影像比对,发现肿瘤进展,建议尽快行“颌骨病灶切除+自体游离腓骨肌皮瓣移植术”。患者因手术风险高、创伤大一度犹豫,曾赴北京、上海多家顶尖医院咨询,所得治疗方案均与我院一致。
患者再次返院就诊,我院口腔科向峰主治医师通过细致沟通与耐心答疑,逐步建立起患者的信任。经全面考量,患者决定在我院接受手术。伍栋主任医师团队术前运用3D打印技术定制截骨与复位导板,实现腓骨精准制取和下颌骨镜像重建,并成功完成显微血管吻合。术前精密设计大幅缩短手术时间,肿瘤完整切除,腓骨移植成活,面形获得最大程度保留,患者对手术效果非常满意。术后两年随访显示肿瘤无复发。

3D设计腓骨重建手术设计图

颌骨缺损骨移植术后图
近日,为解决左侧下颌骨缺损所致的咀嚼功能障碍,患者决定接受腓骨移植区种植手术。向峰医师种植团队通过术前多次论证、3D数字化设计及种植体精准匹配,在取出内固定装置的同时,微创植入2枚种植体。手术特邀整形美容烧伤皮肤科唐宁宁医师团队同期参与,切除原有手术瘢痕,并采用美容超减张缝合技术闭合创口,实现功能与美观的双重提升。手术创伤小、恢复快,预计3个月后种植体完成骨结合,患者将恢复左侧咀嚼功能,重返正常饮食。目前,患者已康复出院。
【延伸阅读】
技术特色与学科优势:(1)精准规划:依托3D打印与数字化设计,实现手术精准化、高效化;(2)精准种植:术前反复验证,种植体微创植入,定位精准;(3)微创美学:兼顾功能重建与外观修复,降低术后并发症;(4)多学科协作:整合全院专家资源,确保高风险手术安全实施。
编辑:周雨霏
编审:李 晓
审核:胡卫锋
急诊电话:0736-2120120
预约挂号:0736-2120000
咨询电话:0736-2120210
健康体检:0736-2120381
(急诊电话24小时在线、其余电话工作时间在线)