26岁的桃源小伙文某因体检发现心脏杂音于当地医院检查心脏彩超,怀疑先天性心脏病、房间隔缺损,但没有明确诊断。文某为进一步诊断及治疗便在家属的陪同下来到湘雅常德医院心胸外科就诊,心胸外科黄日茂主任接诊后查体发现患者口唇和四肢末梢轻度紫绀,左前胸壁明显隆起;完善血管CT及心彩超检查提示:房间隔缺损,且左右肺静脉完全错位。本应开口在左心房的左右肺静脉通过——垂直静脉搭到无名静脉上,经无名静脉从上腔静脉回到右心房,造成右心房扩大,左心房因为没有得到足够的血液而导致发育不良。 确诊病人为完全性肺静脉异位引流患者,且合并房间隔缺损及三尖瓣关闭不全。黄日茂主任表示这是一种严重复杂且少见的先天性心脏病,发病率约百万分之一,且患者能活到成年者更加罕见,主要“得益”于患者同时合并了先天性房间隔缺损,使得错误流入右心房的血能部分流入正常的左心房,但随着患者年纪越大,运动量及血容量增加,这种畸形的供血方式不能满足机体的正常需求,并可能导致上腔静脉严重扩张。若不尽早行手术治疗,最终会因为严重肺动脉高压而失去手术机会。

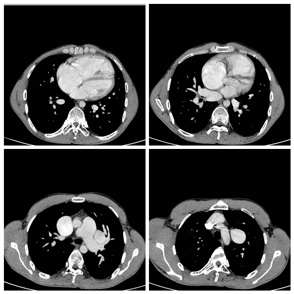
图一可见房间隔缺损;图二可见肺静脉与左房未直接相连;图三图四可见异位引流血管(垂直静脉)。
目前该病的主要治疗方案就是尽早手术治疗,鉴于患者病情较重且复杂少见,术后易出现肺水肿或肺动脉高压危象等严重后果危及生命,湘雅常德医院心胸外科团队与患者及其家属反复沟通,告诉患者本人及家属手术必要性及风险,患者和家属反复斟酌商量后决定愿意搏一搏来寻求一线生机。 经过详细的术前检查准备及科内讨论,心胸外科主任黄日茂教授带领其团队成功完成了肺静脉异位引流矫治术+房间隔缺损修补术+三尖瓣成形术。术中首先结扎了肺静脉与右房之间的异常连接通道(垂直静脉),让肺静脉总干与左心房吻合,然后将肺静脉异位回流的氧合血液流入左房;再闭合房间隔缺损,并适当将左房成型扩大,使其能容纳肺部回流血液,避免术后肺水肿,最后三尖瓣kay’s成形。手术的关键是彻底结扎垂直静脉,需注意肺静脉与左房的吻合口要足够大,并且直径不小于垂直静脉的口径。 手术历时5小时,在心胸外科医护人员的精心治疗与护理下患者手术后恢复良好,顺利出院。该手术的成功实施弥补了湘西北地区关于此类罕见病例的空白,也体现了湘雅常德医院心胸外科团队对于复杂先天性心脏病的治疗水平。科普小知识 正常人血液循环系统由体循环与肺循环两部分共同组成。体循环是指血液从心脏泵出,到达全身各部的毛细血管,进行组织内物质交换和气体交换,最后经各级静脉流回右心房的过程。肺循环途径是心脏右心房→右心室→肺动脉→肺部的毛细血管网→肺静脉→左心房。而生活中有极少一部分人,其肺静脉的血没有流入左心房,而是再次流入右心房或者右心房“上游”,犹如迷路一般,这种不正常的症状在临床上称为肺静脉异位引流。按病理生理来分,分为两种①部分型肺静脉异位引流;②完全型肺静脉异位引流。

完全性肺静脉异位引流(total anomalous pulmonary venous drainage,TAPVD)是所有肺静脉均没有正常引流入左心房,而是与右心房或与引流入右心房的静脉异位连接,左心房只接受经右心房分流来的混合血的一种少见的紫绀型先天性心脏病,如不采取手术干预,约75%-80%的患儿在1岁以内死于充血性心力衰竭。目前临床上根据肺静脉畸形连接部位,将完全性肺静脉异位回流分成四型分别为心上型,心内型,心下型及混合型。全部肺静脉经过多种通道进入右心房。心下型和混合型大多数在婴幼儿期死亡。完全性肺静脉异位回流病人约75%有卵圆孔未闭,25%并有心房间隔缺损。右心房、右心室往往扩大肥厚,肺动脉扩大,压力增高,左心房较小。肺静脉梗阻最常见于心下型,心上型次之,其发生率可高达50%。其它并存的心脏血管畸形有动脉导管未闭、主动脉缩窄、永存动脉干、大动脉错位、单心室、肺动脉闭锁、法乐四联症和右心室双出口等。