欢迎来到湘雅常德医院官网!
  • 微信公众号

  • 支付宝二维码

  • 云闪付二维码

科室导航
健康教育
您现在的位置: 首页>>科室导航>>临床科室>>心胸外科>>健康教育
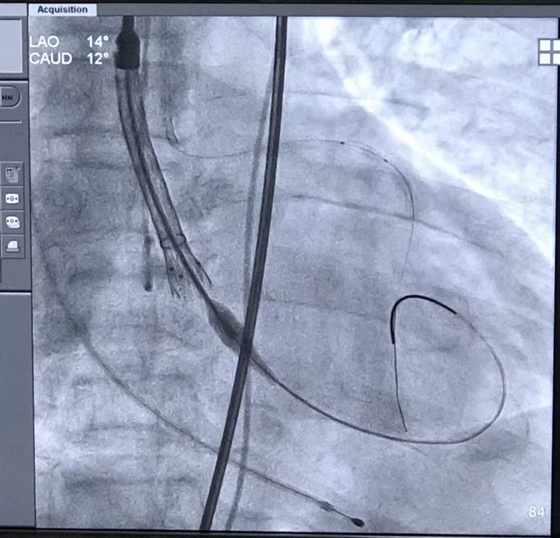
湘雅常德医院心胸外科再次顺利完成经皮主动脉瓣置换术

2022-08-22 16:18:22

党支部:第三党支部科室:心胸外科作者:何珊、何志伟点击数:

      家住张家界慈利县66岁的金奶奶,8个月前出现了胸闷、气促的情况,后多处求医,但症状还在加重,后通过朋友介绍来到湘雅常德医院心胸外科就诊。

      心胸外科主任黄日茂教授和护士长代玲莉带领的心胸外科团队非常重视,对金奶奶进行详细的检查,患者是因为主动脉瓣严重狭窄而导致的病情,只有通过更换瓣膜才能从根本上解决这些问题,而金奶奶年龄大,主动脉瓣严重狭窄、心衰、心功能差等情况,传统的开胸换瓣膜手术风险极大,但若不进行换瓣手术,可能会导致更严重的心脏衰竭。因此心胸外科团队对老人的病例进行了详细的分析和多次讨论,最后向家属建议进行一个微创手术——TAVI(经导管主动脉瓣置入术)。


      810日,湘雅二医院唐建军教授团队和黄日茂教授带领的湘雅常德医院结构性心脏病治疗团队一起顺利完成了经导管主动脉瓣置入术和左冠状动脉支架植入术(患者主动脉瓣钙化严重,且左冠状动脉开口位置较低)。术后经心胸外科及ICU医护团队的精心治疗护理,金奶奶病情逐渐好转,胸闷、气促的症状明显改善,晚上能安稳休息、白天能下床活动。手术一周后,金奶奶顺利出院,金奶奶和家属向黄日茂教授及心胸外科团队表示了深深的感谢。

      黄日茂教授介绍道,TAVI手术是一种不需要开胸就可通过外周动脉穿刺,用导管将瓣膜通过输送系统置入到患者的原瓣膜结构处,代替原瓣膜工作的治疗主动脉瓣狭窄的新技术。这种微创方法避免了传统外科开胸手术的风险,手术创伤小、术后恢复快,目前心胸外科已经常规开展此类手术,所有经TAVI手术治疗的患者均在术后第二天便能下床活动,恢复到比术前更好地生活状态,相比传统的开胸心脏手术具有快速恢复的优势,同时也避免开胸手术的众多风险。对于年龄大,身体机能较差,不愿意进行开胸手术的瓣膜病患者是一个最佳的选择。

      湘雅常德医院心胸外科顺应医学发展,由心胸外科主任黄日茂倡导,在医务部的指导下,组建了以心胸外科、心血管内科、重症医学科和麻醉手术部为主的结构性心脏病治疗中心,开展了湘西北第一例经皮主动脉瓣置换术,完成了100余例各种先天性心脏病的介入治疗等各种复杂手术。

编辑:胡泽涛

编审:李 

终审:胡卫锋

急诊电话:0736-2120120
预约挂号:0736-2120000
咨询电话:0736-2120210
健康体检:0736-2120381
(急诊电话24小时在线、其余电话工作时间在线)

地址:常德市武陵区朗州北路西侧月亮大道

Copyright 2017 - 2018 湘雅常德医院 All Rights Reserved 湘ICP备18010108号

Designed by Wanhu

工业和信息化部ICP/IP地址/域名信息备案管理系统